Suppr超能文献

异基因造血干细胞移植中性粒细胞减少期间因产气荚膜梭菌导致的致命性自发性气性坏疽:病例报告及文献综述

A Fatal Spontaneous Gas Gangrene due to Clostridium perfringens during Neutropenia of Allogeneic Stem Cell Transplantation: Case Report and Literature Review.

作者信息

Lee Hae-Lim, Cho Sung-Yeon, Lee Dong-Gun, Ko Yumi, Hyun Ji In, Kim Bo Kyoung, Seo Jae Hyun, Lee Jung Woo, Lee Seok

机构信息

Department of Internal Medicine, College of Medicine, The Catholic University of Korea, Seoul, Korea.

Department of Internal Medicine, College of Medicine, The Catholic University of Korea, Seoul, Korea. ; The Catholic Blood and Marrow Transplantation Center, College of Medicine, The Catholic University of Korea, Seoul, Korea.

出版信息

Infect Chemother. 2014 Sep;46(3):199-203. doi: 10.3947/ic.2014.46.3.199. Epub 2014 Sep 24.

Abstract

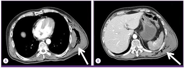
Most cases of gas gangrene caused by Clostridium species begin with trauma-related injuries but in rare cases, spontaneous gas gangrene (SGG) can occur when patients have conditions such as advanced malignancy, diabetes, or immunosuppression. Clostridium perfringens, a rare cause of SGG, exists as normal flora of skin and intestines of human. Adequate antibiotics with surgical debridement of infected tissue is the only curative therapeutic management. Mortality rate among adults is reported range of 67-100% and majority of deaths are occurred within 24 hours of onset. We experienced a case of SGG on the trunk, buttock and thigh in a neutropenic patient with acute lymphoblastic leukemia. His clinical course was rapid and fatal during pre-engraftment neutropenic period of allogeneic stem cell transplantation.

摘要

大多数由梭菌属引起的气性坏疽病例始于与创伤相关的损伤,但在罕见情况下,当患者患有晚期恶性肿瘤、糖尿病或免疫抑制等疾病时,可发生自发性气性坏疽(SGG)。产气荚膜梭菌是SGG的罕见病因,存在于人类皮肤和肠道的正常菌群中。使用足够的抗生素并对感染组织进行手术清创是唯一的治愈性治疗方法。据报道,成人死亡率在67%至100%之间,大多数死亡发生在发病后24小时内。我们遇到一例急性淋巴细胞白血病中性粒细胞减少患者,其躯干、臀部和大腿发生了SGG。在异基因干细胞移植的植入前中性粒细胞减少期,他的临床病程迅速且致命。

https://cdn.ncbi.nlm.nih.gov/pmc/blobs/3257/4189134/1c379449a208/ic-46-199-g001.jpg

文献AI研究员

20分钟写一篇综述,助力文献阅读效率提升50倍。

立即体验

用中文搜PubMed

大模型驱动的PubMed中文搜索引擎

马上搜索

文档翻译

学术文献翻译模型,支持多种主流文档格式。

立即体验