Suppr超能文献

基底样鳞状细胞癌:1例罕见病例报告并文献复习

Basaloid squamous cell carcimoma: A rare case report with review of literature.

作者信息

Shivakumar Bn, Dash Bishwajeet, Sahu Anshuta, Nayak Barakha

机构信息

Department of Oral And Maxillofacial Pathology, Maitri College of Dentistry and Research Centre, Anjora, Durg, Chhattisgarh, India.

出版信息

J Oral Maxillofac Pathol. 2014 May;18(2):291-4. doi: 10.4103/0973-029X.140797.

Abstract

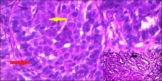
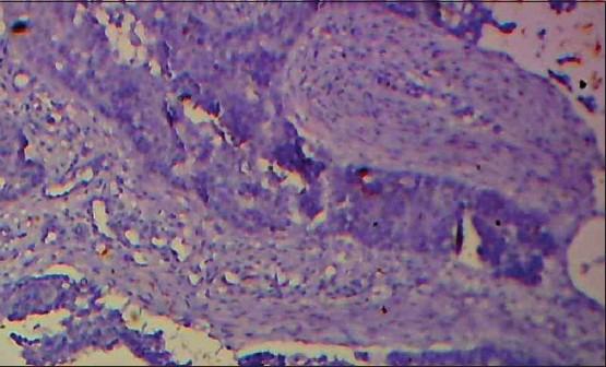
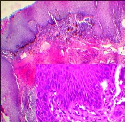
Basaloid squamous cell carcinoma (BSCC) is a distinct variant of conventional squamous cell carcinoma (SCC), predominantly localized in the upper aerodigestive tract. In the head and neck region, the tumor has a strong predilection for extra-laryngeal sites, such as the base of the tongue, tonsil, hypopharynx and supraglottic larynx. BSCC has well-defined histological features, characterized by nesting, lobular and trabecular arrangement of basaloid cells. Central comedonecrosis within the cell nests, cells with nuclear palisading and high-grade dysplasia in overlying mucosa are the main characteristics. The tumor is considered to be highly aggressive and often presents itself as an advanced stage lesion, thus demanding early diagnosis and prompt treatment. We here report a case of 72-year-old male diagnosed with BSCC involving the right tonsillar region.

摘要

基底样鳞状细胞癌(BSCC)是传统鳞状细胞癌(SCC)的一种独特变体,主要位于上消化道。在头颈部区域,该肿瘤强烈倾向于喉外部位,如舌根、扁桃体、下咽和声门上喉。BSCC具有明确的组织学特征,其特点是基底样细胞呈巢状、小叶状和小梁状排列。细胞巢内的中央粉刺样坏死、细胞核呈栅栏状排列的细胞以及覆盖黏膜的高级别发育异常是主要特征。该肿瘤被认为具有高度侵袭性,常表现为晚期病变,因此需要早期诊断和及时治疗。我们在此报告一例72岁男性被诊断为累及右侧扁桃体区域的基底样鳞状细胞癌。

https://cdn.ncbi.nlm.nih.gov/pmc/blobs/f49e/4196303/ae27b157b106/JOMFP-18-291-g001.jpg

文献AI研究员

20分钟写一篇综述,助力文献阅读效率提升50倍。

立即体验

用中文搜PubMed

大模型驱动的PubMed中文搜索引擎

马上搜索

文档翻译

学术文献翻译模型,支持多种主流文档格式。

立即体验