Suppr超能文献

四种库蚊品系对西方马脑炎病毒的病理效应比较研究。

Comparative Study of the Pathological Effects of Western Equine Encephalomyelitis Virus in Four Strains of Culex tarsalis Coquillett (Diptera: Culicidae).

机构信息

Center for Infectious Disease Research, College of Exact and Natural Sciences, Pontificia Universidad Católica del Ecuador , Quito , Ecuador ; Department of Biomedical Sciences, Tropical Disease Institute, College of Osteopathic Medicine, Ohio University , Athens, OH , USA.

Environmental Health and Engineering, United States Army Public Health Command Region-South , Houston, TX , USA ; Center for Vector-borne Diseases, School of Veterinary Medicine, University of California , Davis, CA , USA.

出版信息

Front Public Health. 2014 Oct 9;2:184. doi: 10.3389/fpubh.2014.00184. eCollection 2014.

Abstract

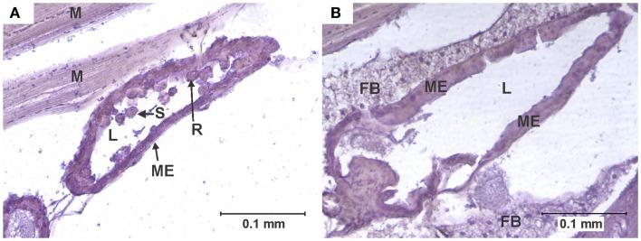
Early reports suggested that mosquito cells infected with arboviruses remain viable and undamaged. However, more recent experimental evidence suggests that arboviral infection of mosquito tissues might indeed result in pathological changes, with potential implications for vector survival and virus transmission. Here, we compare the pathological effects of western equine encephalomyelitis virus (WEEV) infection in four strains of Culex tarsalis previously reported to differ in their competence as WEEV vectors. Pathological effects were observed in cells of the midgut epithelium, salivary glands, and eggs. Cell rounding and sloughing of midgut epithelial cells was associated with those strains reported to be the least susceptible to WEEV infection, whereas midgut necrosis and vacuolation upon infection were associated with strains showing higher susceptibility. Although pathological effects were sporadically observed in infected salivary glands, further studies are required to evaluate their impact on vector competence. Additionally, the potential implications of observed C. tarsalis egg infection with WEEV are discussed.

摘要

早期的报告表明,感染虫媒病毒的蚊子细胞仍然具有活力且未受损。然而,最近的实验证据表明,蚊子组织感染虫媒病毒确实可能导致病理变化,这可能对媒介的生存和病毒传播产生影响。在这里,我们比较了先前报道的在蚊媒西尼罗河病毒(WEEV)感染能力上存在差异的 4 种库蚊(Culex tarsalis)菌株中的 WEEV 感染的病理效应。在中肠上皮细胞、唾液腺和卵中观察到了病理效应。细胞圆化和中肠上皮细胞脱落与那些被报道对 WEEV 感染最不敏感的菌株有关,而感染时中肠坏死和空泡化则与表现出更高易感性的菌株有关。尽管在感染的唾液腺中偶尔观察到病理效应,但需要进一步研究来评估它们对媒介效能的影响。此外,还讨论了观察到的 WEEV 对库蚊卵感染的潜在影响。

https://cdn.ncbi.nlm.nih.gov/pmc/blobs/91aa/4191153/ee96b4d04c17/fpubh-02-00184-g001.jpg

文献AI研究员

20分钟写一篇综述,助力文献阅读效率提升50倍。

立即体验

用中文搜PubMed

大模型驱动的PubMed中文搜索引擎

马上搜索

文档翻译

学术文献翻译模型,支持多种主流文档格式。

立即体验