Nukaga Sakiko, Aoki Shigeru, Kurasawa Kentaro, Takahashi Tsuneo, Hirahara Fumiki
Perinatal Center for Maternity and Neonate, Yokohama City University Medical Center, 4-57 Urafunecyou, Minami-ku, Yokohama, Kanagawa 232-0024, Japan.
Department of Obstetrics and Gynecology, Yokohama City University Hospital, 3-9 Fukuura, Kanazawa-ku, Yokohama, Kanagawa 236-0004, Japan.
Case Rep Obstet Gynecol. 2014;2014:375685. doi: 10.1155/2014/375685. Epub 2014 Oct 14.
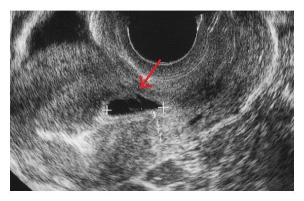
We report our experience with a case of presumptive cesarean scar pregnancy, based on detection of a gestational sac (GS) in early pregnancy at the site of a previous cesarean scar. The GS grew into the uterine cavity as the pregnancy progressed, showing an ultrasound image similar to that of a normal pregnancy. Thus, the pregnancy continued, resulting in a viable birth at 28 weeks of gestation. Cesarean scar pregnancy is classified as myometrial implantation or implantation growth into the uterine cavity. In the latter type, the gestational sac moves upward with increasing gestational weeks and it shows the same ultrasound image as a normal pregnancy. Therefore, the diagnosis must be made in the early pregnancy.
我们报告了一例疑似剖宫产瘢痕妊娠的病例,该病例基于在早期妊娠时于既往剖宫产瘢痕部位检测到妊娠囊(GS)。随着妊娠进展,妊娠囊向子宫腔内生长,呈现出与正常妊娠相似的超声图像。因此,妊娠得以持续,最终在妊娠28周时分娩出活婴。剖宫产瘢痕妊娠分为肌层植入或向子宫腔内植入生长。在后一种类型中,妊娠囊随着孕周增加向上移动,并且显示出与正常妊娠相同的超声图像。因此,必须在妊娠早期做出诊断。