Suppr超能文献

BDNF 增强海马神经元中兴奋性末梢而非抑制性末梢的自发性和活动依赖性神经递质释放。

BDNF enhances spontaneous and activity-dependent neurotransmitter release at excitatory terminals but not at inhibitory terminals in hippocampal neurons.

机构信息

Trans-synaptic Signaling Group, European Neuroscience Institute Goettingen, Germany ; Department of Applied Biological Science, Faculty of Science and Technology, Tokyo University of Science Chiba, Japan.

Trans-synaptic Signaling Group, European Neuroscience Institute Goettingen, Germany.

出版信息

Front Synaptic Neurosci. 2014 Nov 10;6:27. doi: 10.3389/fnsyn.2014.00027. eCollection 2014.

Abstract

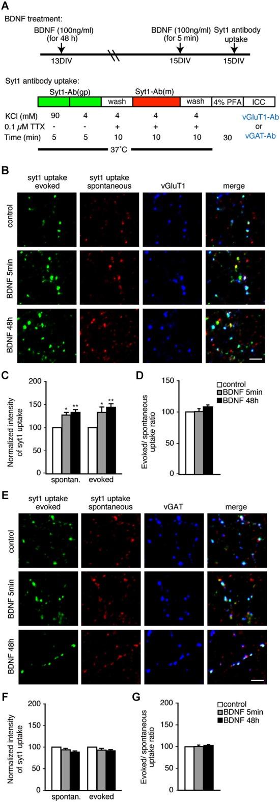
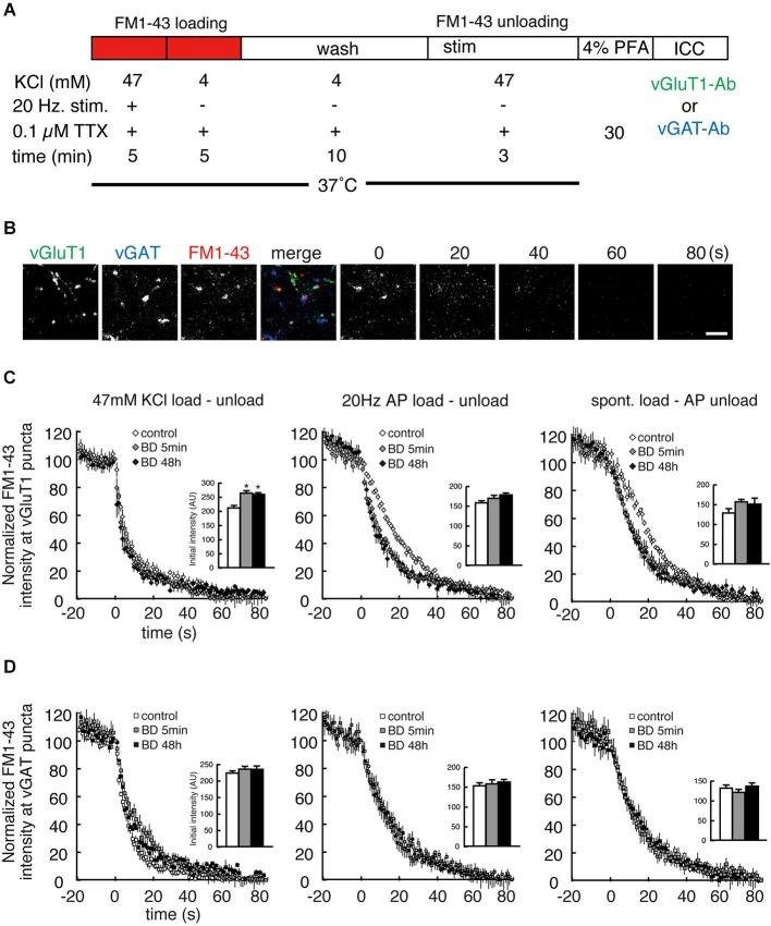
Brain-derived neurotrophic factor (BDNF) is widely reported to enhance synaptic vesicle (SV) exocytosis and neurotransmitter release. But it is still unclear whether BDNF enhances SV recycling at excitatory terminals only, or at both excitatory and inhibitory terminals. In the present study, in a direct comparison using cultured rat hippocampal neurons, we demonstrate that BDNF enhances both spontaneous and activity-dependent neurotransmitter release from excitatory terminals, but not from inhibitory terminals. BDNF treatment for 5 min or 48 h increased both spontaneous and activity-induced anti-synaptotagmin1 (SYT1) antibody uptake at excitatory terminals marked with vGluT1. Conversely, BDNF treatment did not enhance spontaneous or activity-induced uptake of anti-SYT1 antibodies in inhibitory terminals marked with vGAT. Time-lapse imaging of FM1-43 dye destaining in excitatory and inhibitory terminals visualized by post-hoc immunostaining of vGluT1 and vGAT also showed the same result: The rate of spontaneous and activity-induced destaining was increased by BDNF at excitatory synapses, but not at inhibitory synapses. These data demonstrate that BDNF enhances SV exocytosis in excitatory but not inhibitory terminals. Moreover, BDNF enhanced evoked SV exocytosis, even if vesicles were loaded under spontaneous vesicle recycling conditions. Thus, BDNF enhances both spontaneous and activity-dependent neurotransmitter release on both short and long time-scales, by the same mechanism.

摘要

脑源性神经营养因子(BDNF)被广泛报道可增强突触囊泡(SV)出胞作用和神经递质释放。但目前仍不清楚 BDNF 是否仅增强兴奋性末端的 SV 再循环,还是同时增强兴奋性和抑制性末端的 SV 再循环。在本研究中,我们使用培养的大鼠海马神经元进行了直接比较,结果表明 BDNF 增强了兴奋性末端的自发性和活动依赖性神经递质释放,但不能增强抑制性末端的神经递质释放。BDNF 处理 5 分钟或 48 小时可增加兴奋性末端标记的 vGluT1 上的自发性和活性诱导的抗突触结合蛋白 1(SYT1)抗体摄取。相反,BDNF 处理不会增强抑制性末端标记的 vGAT 上的自发性或活性诱导的抗-SYT1 抗体摄取。通过 vGluT1 和 vGAT 的事后免疫染色可视化,对 FM1-43 染料褪色的荧光显微镜延时成像也显示了相同的结果:BDNF 可增加兴奋性突触的自发性和活性诱导的褪色速率,但不能增加抑制性突触的褪色速率。这些数据表明,BDNF 增强了兴奋性但不是抑制性末端的 SV 出胞作用。此外,即使在自发性囊泡再循环条件下装载囊泡,BDNF 也能增强诱发的 SV 出胞作用。因此,BDNF 通过相同的机制增强了短时间和长时间尺度上的自发性和活动依赖性神经递质释放。

https://cdn.ncbi.nlm.nih.gov/pmc/blobs/8cf6/4226143/667079d7e89f/fnsyn-06-00027-g0001.jpg

文献AI研究员

20分钟写一篇综述,助力文献阅读效率提升50倍。

立即体验

用中文搜PubMed

大模型驱动的PubMed中文搜索引擎

马上搜索

文档翻译

学术文献翻译模型,支持多种主流文档格式。

立即体验