Suppr超能文献

甲氨蝶呤治疗类固醇无反应性溃疡性穆查-哈伯曼病(发热性溃疡性坏死性穆查-哈伯曼病)病例

Steroid unresponsive case of ulcerative mucha-habermann disease (febrile ulcernecrotic mucha-habermann disease) treated with methotrexate.

作者信息

Shah Deepam J, Dhir Rajeev, Shah Harsh, Chawla Naveen

机构信息

Department of Dermatology, INHS Asvini, Colaba, Mumbai, Maharashtra, India.

Department of Dermatology, INHS Asvini, Colaba, Mumbai, Maharashtra, India ; Department of Venerology, INHS Asvini, Colaba, Mumbai, Maharashtra, India ; Department of Lerprosy, INHS Asvini, Colaba, Mumbai, Maharashtra, India.

出版信息

Indian J Dermatol. 2014 Nov;59(6):631. doi: 10.4103/0019-5154.143572.

Abstract

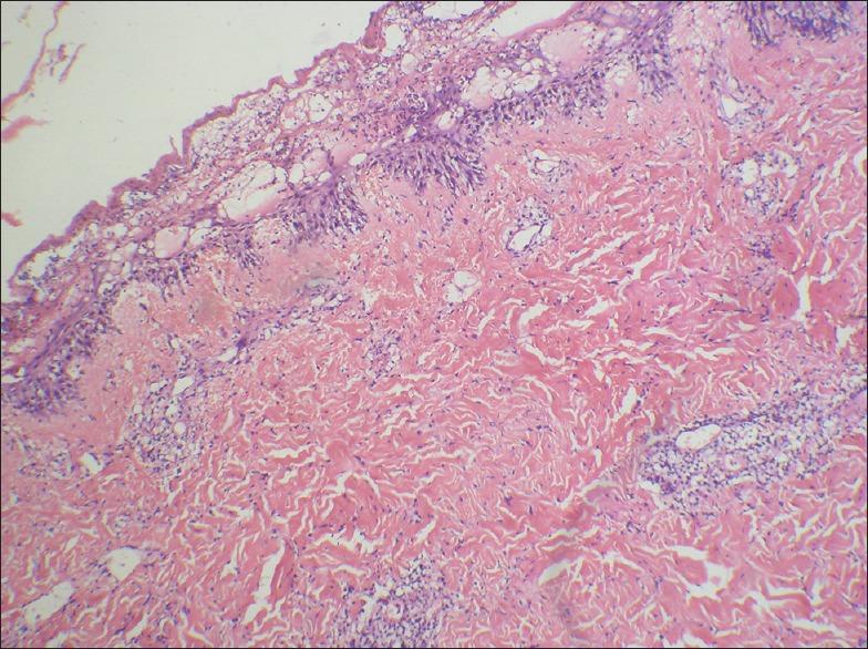
A 20 year old male presented with fever associated with eruption of papules, plaques and vesiculobullous lesions on the chest, back, extremities, palms, soles, and genital mucosa of 20 days duration. Histopathological examination revealed epidermal clefts, edema and vacuolar degeneration of keratinocytes, basal cell degeneration, and dermal perivascular lymphocytic infiltrate. On the basis of clinical features and histology, a diagnosis of febrile ulceronecrotic Mucha-Habermann disease (FUMHD) was made. Treatment with doxycycline (100 mg BD for 4 weeks) and oral prednisolone 60 mg/day tapered to 25 mg in 4 weeks led to initial response that was followed by a relapse on tapering steroid. Addition of methotrexate (7.5 mg increased to 15 mg in 2 weeks) led to a dramatic response.

摘要

一名20岁男性,出现发热,并伴有丘疹、斑块及水疱大疱性皮损,分布于胸部、背部、四肢、手掌、足底及生殖器黏膜,病程20天。组织病理学检查显示表皮裂隙、角质形成细胞水肿及空泡变性、基底细胞变性以及真皮血管周围淋巴细胞浸润。根据临床特征和组织学表现,诊断为发热性溃疡性坏死性穆夏-哈贝曼病(FUMHD)。给予强力霉素(100毫克,每日2次,共4周)及口服泼尼松龙60毫克/天,4周内逐渐减至25毫克,初期有反应,但在激素减量时复发。加用甲氨蝶呤(2周内从7.5毫克增至15毫克)后出现显著疗效。

https://cdn.ncbi.nlm.nih.gov/pmc/blobs/9a1a/4248524/d162550fd4c6/IJD-59-631c-g001.jpg

文献AI研究员

20分钟写一篇综述,助力文献阅读效率提升50倍。

立即体验

用中文搜PubMed

大模型驱动的PubMed中文搜索引擎

马上搜索

文档翻译

学术文献翻译模型,支持多种主流文档格式。

立即体验