Suppr超能文献

表现为急性阑尾炎的套细胞淋巴瘤。

Mantle cell lymphoma presenting as acute appendicitis.

作者信息

Chae Max, Kumar Sampath, Cheema Muhammad

机构信息

Surgery Department, Lutheran Medical Center, 150 55th Street, Brooklyn 11220, NY, USA.

Pathology Department, Lutheran Medical Center, 150 55th Street, Brooklyn 11220, NY, USA.

出版信息

Int J Surg Case Rep. 2015;6C:33-5. doi: 10.1016/j.ijscr.2014.10.068. Epub 2014 Nov 21.

Abstract

INTRODUCTION

Most cases of appendicitis associated with lymphoma reported in literature are in patients with Burkitt's or large B-cell lymphoma. Mantle cell lymphoma only makes up 4% of all lymphoma cases in the U.S. We report a case of a patient with mantle cell lymphoma presenting with acute appendicitis.

PRESENTATION OF CASE

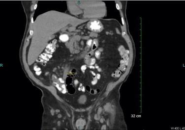
A 75 year old male with a history of left cervical lymphadenopathy biopsied to be mantle cell lymphoma presented with right lower abdomen pain for 3 days. An outpatient CT scan revealed acute appendicitis. Laparoscopic appendectomy was performed without any complication. The histologic examination showed mantle cell lymphoma occluding the lumen of appendix.

DISCUSSION

Typically, appendicitis is caused by obstruction of the lumen of appendix by fecalith or lymphoma. A previously reported case of a patient with mantle cell lymphoma who developed appendicitis received chemotherapy before appendectomy. The author could not determine how mantle cell lymphoma contributed to appendicitis because the lumen of appendix was not occluded by the lymphoma, likely from cytoreduction from chemotherapy. We have a patient with mantle cell lymphoma before the patient received chemotherapy who presented with appendicitis. The appendiceal specimen shows the lumen filled with mantle cell lymphoma.

CONCLUSION

This is a rare case of mantle cell lymphoma causing obstruction of appendiceal lumen and subsequently appendicitis, unaffected by chemotherapy.

摘要

引言

文献中报道的大多数与淋巴瘤相关的阑尾炎病例见于患有伯基特淋巴瘤或大B细胞淋巴瘤的患者。套细胞淋巴瘤仅占美国所有淋巴瘤病例的4%。我们报告一例表现为急性阑尾炎的套细胞淋巴瘤患者。

病例介绍

一名75岁男性,有左侧颈部淋巴结病活检确诊为套细胞淋巴瘤病史,出现右下腹疼痛3天。门诊CT扫描显示急性阑尾炎。行腹腔镜阑尾切除术,无任何并发症。组织学检查显示套细胞淋巴瘤阻塞阑尾腔。

讨论

通常,阑尾炎是由粪石或淋巴瘤阻塞阑尾腔引起的。先前报道的一例患有套细胞淋巴瘤并发生阑尾炎的患者在阑尾切除术前接受了化疗。作者无法确定套细胞淋巴瘤如何导致阑尾炎,因为阑尾腔未被淋巴瘤阻塞,可能是化疗导致的肿瘤细胞减少。我们有一名在接受化疗前患有套细胞淋巴瘤并出现阑尾炎的患者。阑尾标本显示腔内充满套细胞淋巴瘤。

结论

这是一例罕见的套细胞淋巴瘤导致阑尾腔阻塞并随后引发阑尾炎的病例,不受化疗影响。

https://cdn.ncbi.nlm.nih.gov/pmc/blobs/8752/4334643/01ff63d45945/gr1.jpg

文献AI研究员

20分钟写一篇综述,助力文献阅读效率提升50倍。

立即体验

用中文搜PubMed

大模型驱动的PubMed中文搜索引擎

马上搜索

文档翻译

学术文献翻译模型,支持多种主流文档格式。

立即体验