Danza Matteo, Lauritano Dorina, Carinci Francesco
University of Chieti-Pescara, Via Carducci 83, 65122 Pescara, Italy.
Translational Medicine and Surgery Department, Neuroscience Centre of Milan (NeuroMI), University of Milano-Bicocca, Via Cadore 48, 20052 Monza, Italy.
Case Rep Med. 2014;2014:307364. doi: 10.1155/2014/307364. Epub 2014 Nov 19.
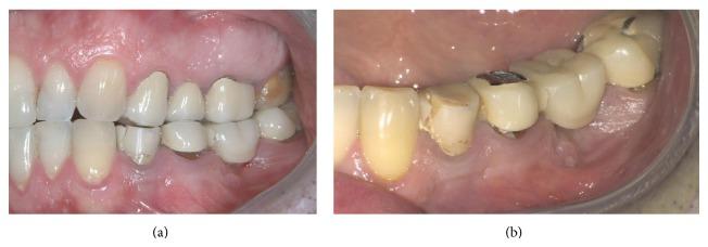
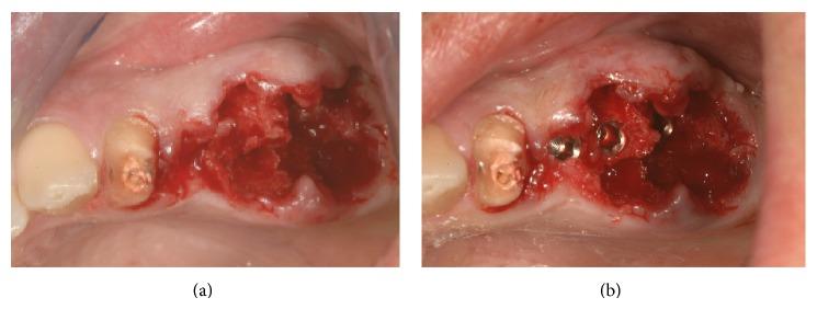
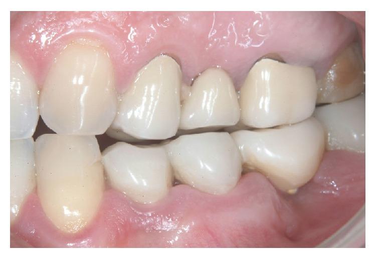
The extraction of teeth results in rapid bone resorption both vertically and horizontally in the first month. The loss of alveolar ridge reduces the chance of implant rehabilitation. Atraumatic extraction, implant placement in extraction socket, and an immediate prosthesis have been proposed as alternative therapies to maintain the volume and contours tissue and reduce time and cost of treatment. The immediate load of implants is a universally practiced procedure; nevertheless a successful procedure requires expertise in both the clinical and the reconstructive stages using a solid implant system. Excellent primary stability and high bone-implant contact are only minimal requirements for any type of implant procedure. In this paper we present a case report using a new type of implants. The new type of implants, due to its sophisticated control system of production, provides to the implantologist a safe and reliable implant, with a macromorphology designed to ensure a close contact with the surrounding bone.
拔牙后第一个月会导致牙槽骨在垂直和水平方向快速吸收。牙槽嵴的吸收会降低种植修复的可能性。已提出微创拔牙、在拔牙窝内植入种植体以及即刻修复作为替代疗法,以维持组织的体积和轮廓,并减少治疗时间和成本。种植体即刻负重是一种普遍采用的程序;然而,要成功实施该程序,需要在临床和重建阶段都具备专业知识,并使用可靠的种植系统。对于任何类型的种植手术而言,出色的初期稳定性和高骨-种植体接触率只是最基本的要求。在本文中,我们报告了一例使用新型种植体的病例。这种新型种植体由于其先进的生产控制系统,为种植医生提供了一种安全可靠的种植体,其宏观形态设计可确保与周围骨紧密接触。