Suppr超能文献

氟代脱氧葡萄糖正电子发射断层扫描/计算机断层扫描(FDG PET/CT)检测到的上呼吸消化道癌症无症状心肌转移:4例系列报道

Asymptomatic myocardial metastasis from cancers of upper aero-digestive tract detected on FDG PET/CT: a series of 4 cases.

作者信息

Puranik Ameya D, Purandare Nilendu C, Sawant Sheela, Agrawal Archi, Shah Sneha, Jatale Prafful, Rangarajan Venkatesh

出版信息

Cancer Imaging. 2014 Apr 28;14(1):16. doi: 10.1186/1470-7330-14-16.

Abstract

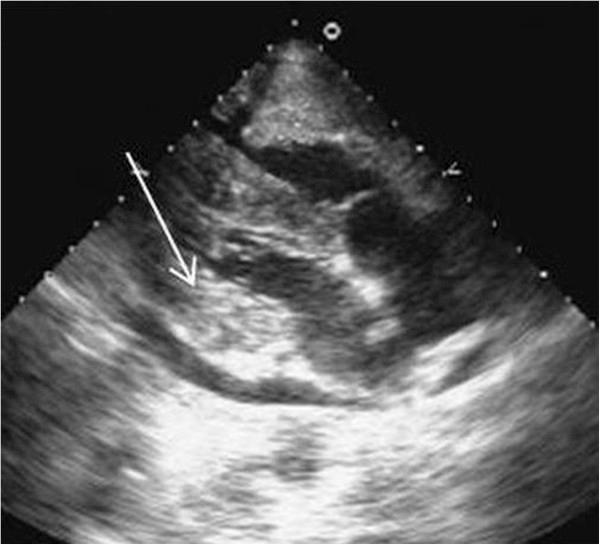
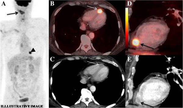
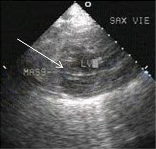
Metastatic involvement of the heart is a rare occurrence and remains undiagnosed until autopsy. In some instances, patients may have cardiac symptoms, leading to ante-mortem diagnosis. Although most primary cancers have been documented to metastasize to heart, the existing literature on cancers of upper aero-digestive tract is an exception, with only a few reports. We report four cases of upper aero-digestive tract cancers, three of which arise from oral cavity, one from lower esophagus, metastasising to the myocardium, detected on 18 F - Fluoro-deoxy-glucose Positron Emission Tomography/Computed Tomography (FDG PET/CT) study , in the absence of related symptoms.

摘要

心脏转移受累较为罕见,直至尸检时才得以诊断。在某些情况下,患者可能会出现心脏症状,从而得以生前诊断。尽管大多数原发性癌症都有转移至心脏的记录,但关于上消化道癌症的现有文献却是个例外,仅有少数报道。我们报告了4例上消化道癌症,其中3例起源于口腔,1例起源于食管下段,在没有相关症状的情况下,经18F-氟脱氧葡萄糖正电子发射断层扫描/计算机断层扫描(FDG PET/CT)检查发现转移至心肌。

https://cdn.ncbi.nlm.nih.gov/pmc/blobs/f276/4331822/74491ee4efa4/1470-7330-14-16-1.jpg

文献AI研究员

20分钟写一篇综述,助力文献阅读效率提升50倍。

立即体验

用中文搜PubMed

大模型驱动的PubMed中文搜索引擎

马上搜索

文档翻译

学术文献翻译模型,支持多种主流文档格式。

立即体验