Suppr超能文献

索拉非尼新辅助治疗高危肾细胞癌

Sorafenib neoadjuvant therapy in the treatment of high risk renal cell carcinoma.

作者信息

Zhang Yushi, Li Yongqiang, Deng Jianhua, Ji Zhigang, Yu Hongyan, Li Hanzhong

机构信息

Department of Urology, Peking Union Medical College Hospital, Chinese Academy of Medical Sciences, Beijing, China.

出版信息

PLoS One. 2015 Feb 3;10(2):e0115896. doi: 10.1371/journal.pone.0115896. eCollection 2015.

Abstract

OBJECTIVE

To evaluate the clinical efficacy of sorafenib as preoperative neoadjuvant therapy in patients with high risk renal cell carcinoma (RCC).

MATERIALS AND METHODS

Clinical data of 18 patients with high risk RCC who received surgery done successfully after preoperative neoadjuvant therapy with sorafenib in Peking Union Medical College Hospital (PUMCH) from April 2007 to October 2013 have been reviewed and analyzed in this study.

RESULTS

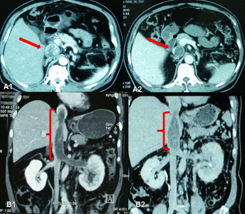
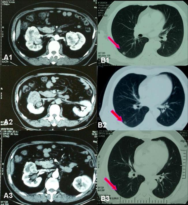
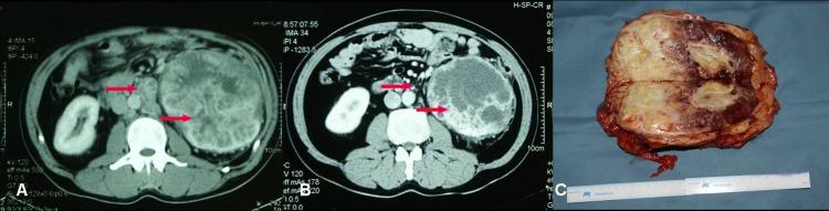
Among the 18 patients there were 13 male and 5 female, with a median age of 54.6 years. The objective response rate (ORR) of the operation on the selected patients is very high (94.4%), including 4 cases (22.2%) of partial response (PR) and 13 cases (72.2%) of stable disease (SD). After preoperative sorafenib treatment, the average tumor size of the 18 patients decreased from 7.8 cm (ranging from 3.6 to 19.2 cm) to 6.2 cm (ranging from 2.4 to 16.8 cm), and the median value of average tumor CT value decreased from 61HU to 52 HU. Among the 5 patients who had IVC tumor thrombi, the grades of tumor thrombi in 2 patients who were grade II before sorafenib treatment became grade I and grade 0 respectively, 2 patients of grade III both became grade II.

CONCLUSION

Preoperative neoadjuvant therapy with sorafenib for high risk RCC patients can significantly decrease primary tumor volume as well as tumor thrombus, which could help the nephron-sparing surgery (NSS) or radical nephrectomy to be done successfully.

摘要

目的

评估索拉非尼作为高危肾细胞癌(RCC)患者术前新辅助治疗的临床疗效。

材料与方法

本研究回顾并分析了2007年4月至2013年10月在北京协和医院(PUMCH)接受索拉非尼术前新辅助治疗后成功进行手术的18例高危RCC患者的临床资料。

结果

18例患者中,男性13例,女性5例,中位年龄54.6岁。所选患者手术的客观缓解率(ORR)非常高(94.4%),包括部分缓解(PR)4例(22.2%)和疾病稳定(SD)13例(72.2%)。术前索拉非尼治疗后,18例患者的平均肿瘤大小从7.8 cm(范围3.6至19.2 cm)降至6.2 cm(范围2.4至16.8 cm),平均肿瘤CT值的中位数从61HU降至52 HU。在5例有下腔静脉瘤栓的患者中,索拉非尼治疗前为Ⅱ级的2例患者的瘤栓分级分别变为Ⅰ级和0级,2例Ⅲ级患者均变为Ⅱ级。

结论

索拉非尼用于高危RCC患者的术前新辅助治疗可显著减小原发肿瘤体积以及瘤栓,有助于成功进行保留肾单位手术(NSS)或根治性肾切除术。

https://cdn.ncbi.nlm.nih.gov/pmc/blobs/b02e/4315594/c4c360bbffa7/pone.0115896.g001.jpg

文献AI研究员

20分钟写一篇综述,助力文献阅读效率提升50倍。

立即体验

用中文搜PubMed

大模型驱动的PubMed中文搜索引擎

马上搜索

文档翻译

学术文献翻译模型,支持多种主流文档格式。

立即体验