Suppr超能文献

生物调强放疗联合新辅助化疗治疗卵巢癌多发腹膜转移:1例病例报告

Biological intensity-modulated radiotherapy plus neoadjuvant chemotherapy for multiple peritoneal metastases of ovarian cancer: A case report.

作者信息

Huang Shigao, Dang Yazheng, Li Fujun, Wei Wei, Ma Yuxin, Qiao Song, Wang Qianyun

机构信息

Department of Oncology, Chinese People's Liberation Army 323 Hospital, Xi'an, Shaanxi 710054, P.R. China.

出版信息

Oncol Lett. 2015 Mar;9(3):1239-1243. doi: 10.3892/ol.2014.2820. Epub 2014 Dec 22.

Abstract

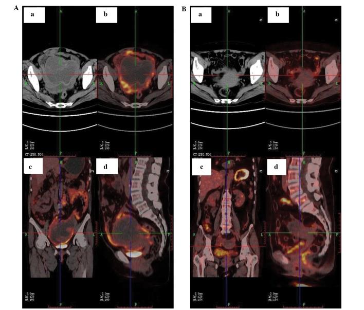
The current study presents the case of a 68-year-old female patient who received biological intensity-modulated radiotherapy (BIMRT) and neoadjuvant chemotherapy for multiple peritoneal metastases of ovarian cancer. The International Federation of Gynecology and Obstetrics disease stage was IIIc. In addition, the patient presented with urination and defecation difficulties. The result of tumor marker detection showed a carcinoembryonic antigen level of 348.2ng/ml, a cancer antigen 125 level of 2,091 U/ml and a cancer antigen 19-9 level of 113 U/ml. Computed tomography (CT) indicated and ovarian cystic or solid package, enlargement of multiple abdominal and retroperitoneal lymph nodes and abdominal cavity effusion. Positron emission tomography/CT indicated multiple internal organ metastases. The center of the ovarian cystic or solid package was considered to be a malignant tumor. A large amount of ascites were detected, as well as abdominal and retroperitoneal lymph node metastasis. The patient was treated with BIMRT at a total dose of 48 Gy, administered as a single 4.0-Gy dose 12 times. In addition, 100 mg cisplatin was administered as a peritoneal perfusion, followed by two cycles of 180 mg Taxol and 100 mg cisplatin. Furthermore, the enlargement of the lymph nodes was reduced and the tumor in the region of the ovary had decreased in size by 90%. The ascites had disappeared and the abdominal pain was greatly improved. At the time of writing this manuscript, the patient was well and without relapse. Therefore, modern radiotherapy techniques, such as BIMRT, may be considered as a beneficial treatment option for ovarian cancer patients with multiple peritoneal metastases in whom surgery is not suitable.

摘要

本研究报告了一例68岁女性患者,该患者因卵巢癌多发腹膜转移接受了生物调强放疗(BIMRT)和新辅助化疗。国际妇产科联盟疾病分期为IIIc期。此外,患者还出现了排尿和排便困难。肿瘤标志物检测结果显示,癌胚抗原水平为348.2ng/ml,癌抗原125水平为2091U/ml,癌抗原19-9水平为113U/ml。计算机断层扫描(CT)显示卵巢有囊实性包块,多个腹部和腹膜后淋巴结肿大以及腹腔积液。正电子发射断层扫描/CT显示多处内脏转移。卵巢囊实性包块的中心被认为是恶性肿瘤。检测到大量腹水以及腹部和腹膜后淋巴结转移。患者接受了总剂量为48Gy的BIMRT治疗,每次剂量为4.0Gy,共12次。此外,给予100mg顺铂进行腹腔灌注,随后进行两个周期的180mg紫杉醇和顺铂100mg治疗。此外,淋巴结肿大有所减轻,卵巢区域的肿瘤大小缩小了90%。腹水消失,腹痛明显改善。在撰写本手稿时,患者情况良好,无复发。因此,对于不适合手术的卵巢癌多发腹膜转移患者,现代放疗技术如BIMRT可被视为一种有益的治疗选择。

https://cdn.ncbi.nlm.nih.gov/pmc/blobs/1051/4314975/90849fab2208/OL-09-03-1239-g00.jpg

文献AI研究员

20分钟写一篇综述,助力文献阅读效率提升50倍。

立即体验

用中文搜PubMed

大模型驱动的PubMed中文搜索引擎

马上搜索

文档翻译

学术文献翻译模型,支持多种主流文档格式。

立即体验