de Vries Henry J C, Reedijk Sophia H, Schallig Henk D F H
Department of Dermatology, Academic Medical Center (AMC), University of Amsterdam, P.O. Box 22700, 1100 DE, Amsterdam, The Netherlands,
Am J Clin Dermatol. 2015 Apr;16(2):99-109. doi: 10.1007/s40257-015-0114-z.
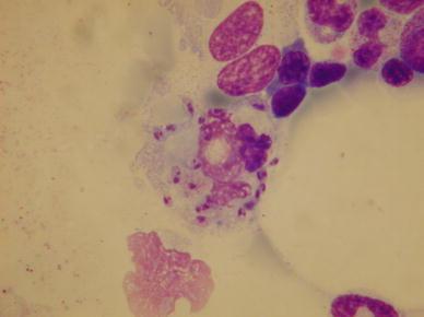
This review focuses on recent developments in the diagnosis, treatment, management, and strategies for the prevention and control of cutaneous leishmaniasis (CL) caused by both Old and New World Leishmania species. CL is caused by the vector-borne protozoan parasite Leishmania and is transmitted via infected female sandflies. The disease is endemic in more than 98 countries and an estimated 350 million people are at risk. The overall prevalence is 12 million cases and the annual incidence is 2-2.5 million. The World Health Organization considers CL a severely neglected disease and a category 1 emerging and uncontrolled disease. The management of CL differs from region to region and is primarily based on local experience-based evidence. Most CL patients can be treated with topical treatments, but some Leishmania species can cause mucocutaneous involvement requiring a systemic therapeutic approach. Moreover, Leishmania species can vary in their sensitivity to available therapeutic options. This makes species determination critical for the choice of treatment and the clinical outcome of CL. Identification of the infecting parasite used to be laborious, but now the Leishmania species can be identified relatively easy with new DNA techniques that enable a more rational therapy choice. Current treatment guidelines for CL are based on poorly designed and reported trials. There is a lack of evidence for potentially beneficial treatments, a desperate need for large well-conducted studies, and standardization of future trials. Moreover, intensified research programs to improve vector control, diagnostics, and the therapeutic arsenal to contain further incidence and morbidity are needed.
本综述聚焦于由新旧世界利什曼原虫物种引起的皮肤利什曼病(CL)在诊断、治疗、管理以及预防和控制策略方面的最新进展。CL由媒介传播的原生动物寄生虫利什曼原虫引起,通过受感染的雌性白蛉传播。该疾病在98多个国家呈地方性流行,估计有3.5亿人面临风险。总体患病率为1200万例,年发病率为200 - 250万例。世界卫生组织将CL视为一种严重被忽视的疾病以及一类新兴且未得到控制的疾病。CL的管理因地区而异,主要基于当地基于经验的证据。大多数CL患者可以采用局部治疗,但一些利什曼原虫物种可导致黏膜皮肤受累,需要采用全身治疗方法。此外,不同利什曼原虫物种对现有治疗选择的敏感性可能不同。这使得物种鉴定对于CL治疗的选择和临床结果至关重要。过去鉴定感染的寄生虫很费力,但现在利用新的DNA技术相对容易鉴定利什曼原虫物种,从而能够做出更合理的治疗选择。目前CL的治疗指南基于设计和报告不佳的试验。缺乏关于潜在有益治疗方法的证据,迫切需要开展大规模的高质量研究以及未来试验的标准化。此外,需要加强研究项目以改善媒介控制、诊断和治疗手段,从而控制进一步的发病率和患病率。