Suppr超能文献

超声检查与计算机断层扫描在检测甲状腺锥体叶方面的比较:一项前瞻性多中心研究。

Comparison between ultrasonography and computed tomography for detecting the pyramidal lobe of the thyroid gland: a prospective multicenter study.

作者信息

Kim Dong Wook, Jung So Lyung, Kim Jinna, Ryu Ji Hwa, Sung Jin Yong, Lim Hyun Kyung

机构信息

Department of Radiology, Busan Paik Hospital, Inje University College of Medicine, Busan 614-735, Korea.

Department of Radiology, Seoul St. Mary's Hospital, College of Medicine, The Catholic University of Korea, Seoul 137-701, Korea.

出版信息

Korean J Radiol. 2015 Mar-Apr;16(2):402-9. doi: 10.3348/kjr.2015.16.2.402. Epub 2015 Feb 27.

Abstract

OBJECTIVE

To compare the detection rates of the pyramidal lobe of the thyroid gland (TPL) using ultrasonography (US) and computed tomography (CT) in a prospective multi-center study.

MATERIALS AND METHODS

We enrolled 582 patients who underwent neck CT at six institutions. Each radiologist prospectively evaluated the presence and features of TPLs on thyroid US. Radiologists were divided into two groups according to their previous experience in detecting TPL on US or CT. The same radiologist also retrospectively assessed CT findings, blinded to the corresponding US findings.

RESULTS

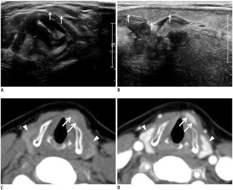
The pyramidal lobe of the thyroid glands were detected in 230 cases (39.5%) on US and in 276 cases (47.6%) on CT. The TPL detection rate at the six institutions ranged from 22.0% to 59% for US and from 34.1% to 59% using CT. There were significant differences between US and CT in the detection rate, length, anteroposterior diameter, volume, and superior extent of TPL (p ≤ 0.027). The TPL detection rates on both US and CT (p < 0.001) differed significantly according to the experience level of the radiologists. When the CT result was used as a reference standard, the sensitivity, specificity, positive and negative predictive values, as well as the accuracy of US for TPL detection were 72.6%, 91.5%, 89.3%, 77.3%, and 82.1%, respectively.

CONCLUSION

Our prospective multicenter study revealed that US could detect TPL with relatively high diagnostic accuracy compared to CT. Because the detection rate of TPL varied significantly according to the radiologists' level of experience, careful inspection is necessary to avoid imaging pitfalls and ensure appropriate evaluation of TPL on both US and CT.

摘要

目的

在一项前瞻性多中心研究中比较超声(US)和计算机断层扫描(CT)对甲状腺锥状叶(TPL)的检出率。

材料与方法

我们纳入了在六个机构接受颈部CT检查的582例患者。每位放射科医生前瞻性评估甲状腺超声上TPL的存在及特征。根据放射科医生之前在超声或CT上检测TPL的经验将其分为两组。同一位放射科医生还在不知相应超声结果的情况下回顾性评估CT结果。

结果

超声检查发现230例(39.5%)甲状腺有锥状叶存在,CT检查发现276例(47.6%)。六个机构的TPL超声检出率在22.0%至59%之间,CT检出率在34.1%至59%之间。超声和CT在TPL的检出率、长度、前后径、体积及上界范围方面存在显著差异(p≤0.027)。超声和CT的TPL检出率根据放射科医生的经验水平有显著差异(p<0.001)。以CT结果作为参考标准时,超声检测TPL的敏感性、特异性、阳性和阴性预测值以及准确性分别为72.6%、91.5%、89.3%、77.3%和82.1%。

结论

我们的前瞻性多中心研究表明,与CT相比,超声检测TPL具有相对较高的诊断准确性。由于TPL的检出率因放射科医生的经验水平差异显著,因此需要仔细检查以避免成像陷阱,并确保在超声和CT上对TPL进行恰当评估。

https://cdn.ncbi.nlm.nih.gov/pmc/blobs/679c/4347276/56a30e387e4b/kjr-16-402-g001.jpg

文献AI研究员

20分钟写一篇综述,助力文献阅读效率提升50倍。

立即体验

用中文搜PubMed

大模型驱动的PubMed中文搜索引擎

马上搜索

文档翻译

学术文献翻译模型,支持多种主流文档格式。

立即体验