Vaidyanathan Subramanian, Soni Bakul M, Oo Tun, Hughes Peter L, Singh Gurpreet
Regional Spinal Injuries Centre, Southport and Formby District General Hospital, Town Lane, Southport PR8 6PN UK.
Department of Radiology, Southport and Formby District General Hospital, Town Lane, Southport PR8 6PN UK.
Patient Saf Surg. 2014 Nov 22;8:44. doi: 10.1186/s13037-014-0044-3. eCollection 2014.
Autonomic dysreflexia is poorly recognised outside of spinal cord injury centres, and may result in adverse outcomes including mortality from delayed diagnosis and treatment. We present a spinal cord injury patient, who developed autonomic dysreflexia following incorrect placement of urethral Foley catheter. Health professionals failed to recognise signs and symptoms of autonomic dysreflexia as well as its significance in this tetraplegic patient.
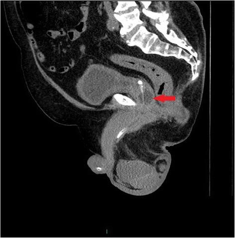
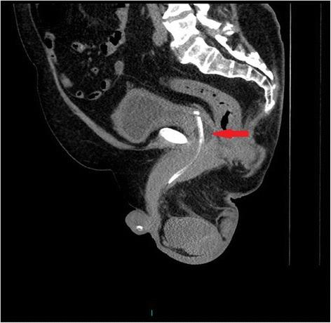
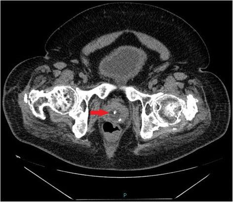
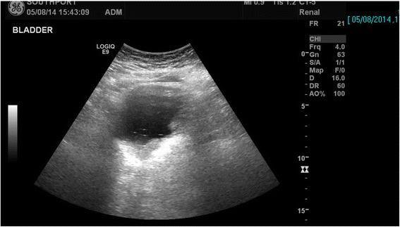
A tetraplegic patient started sweating profusely following insertion of a Foley catheter per urethra. The catheter was draining urine; there was no bypassing, no bleeding per urethra, and no haematuria. Patient's wife, who had been looking after her tetraplegic husband for more than forty years, told the health professionals that the catheter might have been placed incorrectly but her concerns were ignored. Ultrasound scan of urinary tract revealed no urinary calculi, no hydronephrosis. The balloon of Foley catheter was not seen in urinary bladder but this finding was not recognised by radiologist and spinal cord physician. Patient continued to sweat profusely; therefore, CT of pelvis was performed, but there was a delay of ten days. CT revealed the balloon of Foley catheter in the over-stretched prostate-membranous urethra; the tip of catheter was not located within the urinary bladder but was lying distal to bladder neck. Flexible cystoscopy was performed and Foley catheter was inserted into the bladder over a guide wire. The intensity of sweating decreased; noxious stimuli arising from traumatised urethra might take a long while to settle.
Inserting a catheter in a tetraplegic patient should be carried out by a senior health professional, who is familiar with spasm of bladder neck which occurs frequently in tetraplegic patients. Facilities for urgent CT scan should be available to check the position of Foley catheter in spinal cord injury patients when a patient manifests signs and symptoms of autonomic dysreflexia following insertion of a urethral catheter. When an isolated symptom such as flushing or sweating is noticed in a tetraplegic patient, doctors should seek out other signs/symptoms of autonomic dysreflexia.
自主神经反射异常在脊髓损伤中心以外的地方鲜为人知,可能会导致包括因诊断和治疗延误而死亡等不良后果。我们报告一名脊髓损伤患者,其在导尿管放置错误后发生了自主神经反射异常。医护人员未能识别出该四肢瘫痪患者自主神经反射异常的体征和症状及其重要性。
一名四肢瘫痪患者经尿道插入导尿管后开始大量出汗。导尿管有尿液引出;无尿液外漏、无尿道出血及血尿。照顾其四肢瘫痪丈夫四十多年的患者妻子告知医护人员导尿管可能放置错误,但她的担忧被忽视。泌尿系统超声检查未发现尿路结石及肾积水。导尿管的球囊未在膀胱内显影,但放射科医生和脊髓科医生未认识到这一发现。患者持续大量出汗;因此,进行了骨盆CT检查,但延迟了十天。CT显示导尿管球囊位于过度伸展的前列腺-膜部尿道;导尿管尖端不在膀胱内,而是位于膀胱颈远端。进行了软性膀胱镜检查,并通过导丝将导尿管插入膀胱。出汗强度降低;尿道创伤引起的有害刺激可能需要很长时间才能缓解。
为四肢瘫痪患者插导尿管应由熟悉四肢瘫痪患者常见膀胱颈痉挛的资深医护人员进行。当脊髓损伤患者在插入尿道导尿管后出现自主神经反射异常的体征和症状时,应具备紧急CT扫描设备以检查导尿管位置。当在四肢瘫痪患者中发现诸如脸红或出汗等孤立症状时,医生应寻找自主神经反射异常的其他体征/症状。