Priet Stéphane, Lartigue Audrey, Debart Françoise, Claverie Jean-Michel, Abergel Chantal
Architecture et Fonction des Macromolécules Biologiques, CNRS UMR 7257, Aix-Marseille Université, 163 Avenue de Luminy, Case 932, 13288 Marseille cedex 9, France.
Structural and Genomic Information Laboratory, UMR 7256 (IMM FR 3479) CNRS Aix-Marseille Université, 163 Avenue de Luminy, Case 934, 13288 Marseille cedex 9, France.
Nucleic Acids Res. 2015 Apr 20;43(7):3776-88. doi: 10.1093/nar/gkv224. Epub 2015 Mar 16.
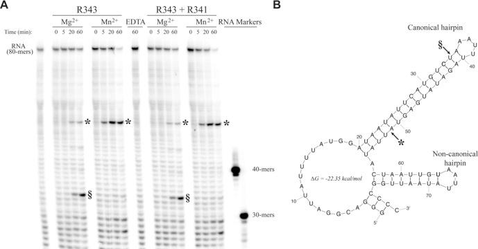
Giant viruses from the Mimiviridae family replicate entirely in their host cytoplasm where their genes are transcribed by a viral transcription apparatus. mRNA polyadenylation uniquely occurs at hairpin-forming palindromic sequences terminating viral transcripts. Here we show that a conserved gene cluster both encode the enzyme responsible for the hairpin cleavage and the viral polyA polymerases (vPAP). Unexpectedly, the vPAPs are homodimeric and uniquely self-processive. The vPAP backbone structures exhibit a symmetrical architecture with two subdomains sharing a nucleotidyltransferase topology, suggesting that vPAPs originate from an ancestral duplication. A Poxvirus processivity factor homologue encoded by Megavirus chilensis displays a conserved 5'-GpppA 2'O methyltransferase activity but is also able to internally methylate the mRNAs' polyA tails. These findings elucidate how the arm wrestling between hosts and their viruses to access the translation machinery is taking place in Mimiviridae.
来自 Mimiviridae 家族的巨型病毒完全在其宿主细胞质中复制,其基因由病毒转录装置进行转录。mRNA 聚腺苷酸化独特地发生在终止病毒转录本的发夹形成回文序列处。在这里,我们表明一个保守的基因簇既编码负责发夹切割的酶,也编码病毒聚腺苷酸聚合酶(vPAP)。出乎意料的是,vPAP 是同二聚体且具有独特的自我进行性。vPAP 的主干结构呈现出一种对称结构,有两个共享核苷酸转移酶拓扑结构的亚结构域,这表明 vPAP 起源于一次祖先基因复制。由智利梅加病毒编码的一种痘病毒进行性因子同源物具有保守的 5'-GpppA 2'O 甲基转移酶活性,但也能够对 mRNA 的聚腺苷酸尾巴进行内部甲基化。这些发现阐明了在 Mimiviridae 中宿主与其病毒之间为获取翻译机制而进行的“角力”是如何发生的。