Suppr超能文献

围产期心肌病患者剖宫产的麻醉管理

Anesthetic management for caesarean section in a case of peripartum cardiomyopathy.

作者信息

Dutt Akanksha, Agarwal Akshi, Chatterji Rama, Ahmed Farid

机构信息

Department of Anesthesiology, S.M.S. Medical College, Jaipur, India.

Department of Obstetrics and Gynecology, S.M.S. Medical College, Jaipur, India.

出版信息

Anesth Essays Res. 2013 May-Aug;7(2):273-5. doi: 10.4103/0259-1162.118978.

Abstract

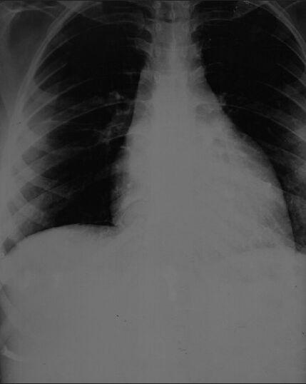
Peripartum cardiomyopathy (PPCM) is a disease of unknown etiology which affects pregnant females during late pregnancy or during the first 5 months post-partum. The clinical presentation of these patients is similar to that of patients with dilated cardiomyopathy. Anesthetic management of such cases poses a challenge; due to the increased risk of various perioperative complications. We report the successful anesthetic management of lower segment caesarean section in a patient with PPCM.

摘要

围产期心肌病(PPCM)是一种病因不明的疾病,影响妊娠晚期或产后前5个月的孕妇。这些患者的临床表现与扩张型心肌病患者相似。此类病例的麻醉管理具有挑战性,因为围手术期各种并发症的风险增加。我们报告了1例围产期心肌病患者成功实施下段剖宫产术的麻醉管理情况。

https://cdn.ncbi.nlm.nih.gov/pmc/blobs/3244/4173509/0b94d2912f46/AER-7-273-g001.jpg

文献AI研究员

20分钟写一篇综述,助力文献阅读效率提升50倍。

立即体验

用中文搜PubMed

大模型驱动的PubMed中文搜索引擎

马上搜索

文档翻译

学术文献翻译模型,支持多种主流文档格式。

立即体验