Suppr超能文献

肾移植后韦格纳肉芽肿病的分级情况

Make the grade for Wegener's granulomatosis after kidney transplantation.

作者信息

Schewior Lioba, Dragun Duska, Rudolph Birgit, Schaeffner Elke

机构信息

Department of Nephrology and Intensive Care Medicine, Charité Campus Virchow.

Department of Pathology, Charité Campus Mitte, Berlin , Germany.

出版信息

NDT Plus. 2009 Jun;2(3):199-204. doi: 10.1093/ndtplus/sfp006. Epub 2009 Feb 2.

Abstract

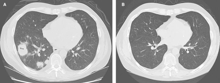
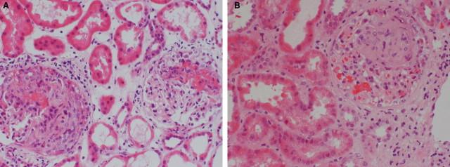
Antineutrophil cytoplasmic antibodies-associated vasculitis (AAV) is a well-described cause of multiple organ involvement including rapidly progressive pauci-immune crescentic glomerulonephritis. Kidney transplantation (KTx) is considered the treatment of choice in patients with end-stage renal disease (ESRD) due to AAV. Patient and graft survival in AAV after KTx is favourable and comparable with other non-diabetic causes of ESRD. While relapse of AAV is high in dialysis patients (up to 50%), it decreases after KTx (8.6-22.2%). Yet, relapse may occur at any time after KTx and transplant involvement has been documented in at least 25 cases. Therapeutic guidelines for the management of AAV after KTx do not exist and clinical management is a controversial discussion. We present two unusual cases of young males with smouldering AAV who recently underwent KTx at our hospital. Case 1 experienced repeated relapses after KTx and was finally successfully treated with rituximab. Case 2 received rituximab pre-emptively before living kidney donation and remained free of flairs. Prompted by theses two cases, we reviewed the literature focusing on the right point of time for transplantation, risk assessment, role of antineutrophil cytoplasmic antibodies, clinical presentation of flairs and immunosuppression in smouldering Wegener's granulomatosis (WG) and in relapse, including individualized treatment with rituximab.

摘要

抗中性粒细胞胞浆抗体相关性血管炎(AAV)是一种已被充分描述的可导致多器官受累的病因,包括快速进展性寡免疫性新月体性肾小球肾炎。肾移植(KTx)被认为是因AAV导致终末期肾病(ESRD)患者的首选治疗方法。AAV患者肾移植后的患者及移植物存活率良好,与ESRD的其他非糖尿病病因相当。虽然AAV在透析患者中的复发率很高(高达50%),但肾移植后复发率会降低(8.6%-22.2%)。然而,肾移植后复发可能在任何时间发生,并且至少有25例记录了移植肾受累情况。目前不存在肾移植后AAV管理的治疗指南,临床管理存在争议。我们报告了两例患有隐匿性AAV的年轻男性的不寻常病例,他们最近在我院接受了肾移植。病例1肾移植后经历了多次复发,最终用利妥昔单抗成功治疗。病例2在活体肾捐献前预防性使用了利妥昔单抗,且未出现病情复发。受这两个病例的启发,我们回顾了文献,重点关注移植的合适时机、风险评估、抗中性粒细胞胞浆抗体的作用、隐匿性韦格纳肉芽肿(WG)及复发时病情复发的临床表现和免疫抑制,包括利妥昔单抗的个体化治疗。

https://cdn.ncbi.nlm.nih.gov/pmc/blobs/bf33/4421184/6dc6aa8e94c0/sfp006fig1.jpg

文献AI研究员

20分钟写一篇综述,助力文献阅读效率提升50倍。

立即体验

用中文搜PubMed

大模型驱动的PubMed中文搜索引擎

马上搜索

文档翻译

学术文献翻译模型,支持多种主流文档格式。

立即体验