Shambharkar Prashant B, Bittinger Mark, Latario Brian, Xiong ZhaoHui, Bandyopadhyay Somnath, Davis Vanessa, Lin Victor, Yang Yi, Valdez Reginald, Labow Mark A
Novartis Institutes for Biomedical Research, Developmental and Molecular Pathways, 100 Technology Square, Cambridge, Massachusetts, United States of America.
PLoS One. 2015 May 21;10(5):e0127480. doi: 10.1371/journal.pone.0127480. eCollection 2015.
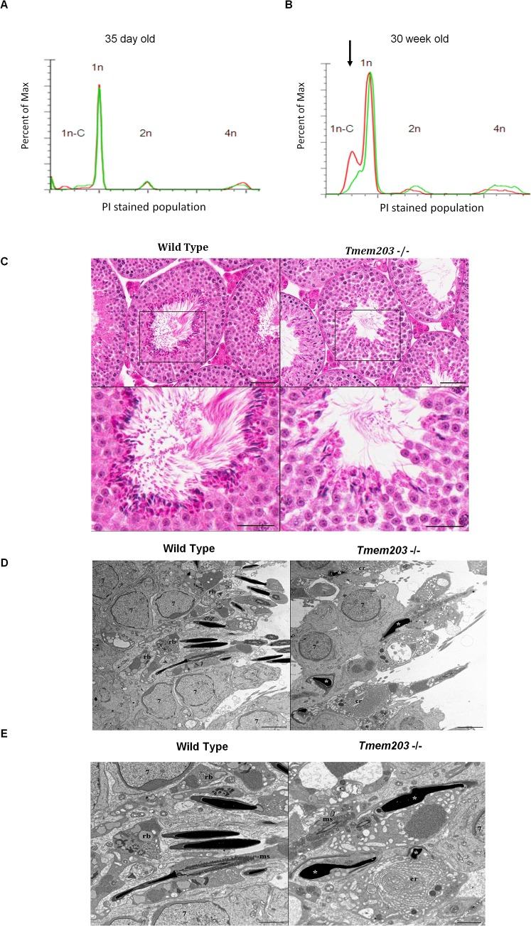
Intracellular calcium signaling is critical for initiating and sustaining diverse cellular functions including transcription, synaptic signaling, muscle contraction, apoptosis and fertilization. Trans-membrane 203 (TMEM203) was identified here in cDNA overexpression screens for proteins capable of modulating intracellular calcium levels using activation of a calcium/calcineurin regulated transcription factor as an indicator. Overexpression of TMEM203 resulted in a reduction of Endoplasmic Reticulum (ER) calcium stores and elevation in basal cytoplasmic calcium levels. TMEM203 protein was localized to the ER and found associated with a number of ER proteins which regulate ER calcium entry and efflux. Mouse Embryonic Fibroblasts (MEFs) derived from Tmem203 deficient mice had reduced ER calcium stores and altered calcium homeostasis. Tmem203 deficient mice were viable though male knockout mice were infertile and exhibited a severe block in spermiogenesis and spermiation. Expression profiling studies showed significant alternations in expression of calcium channels and pumps in testes and concurrently Tmem203 deficient spermatocytes demonstrated significantly altered calcium handling. Thus Tmem203 is an evolutionarily conserved regulator of cellular calcium homeostasis, is required for spermatogenesis and provides a causal link between intracellular calcium regulation and spermiogenesis.