Suppr超能文献

环境富集和戒断可减轻氯胺酮诱导的心脏和肾脏毒性。

Environmental enrichment and abstinence attenuate ketamine-induced cardiac and renal toxicity.

作者信息

Li Xingxing, Li Shuangyan, Zheng Wenhui, Pan Jian, Huang Kunyu, Chen Rong, Pan Tonghe, Liao Guorong, Chen Zhongming, Zhou Dongsheng, Shen Wenwen, Zhou Wenhua, Liu Yu

机构信息

Ningbo University School of Medicine, 818 Fenghua Road, Ningbo, Zhejiang 315211, P. R. China.

Department of Physiology and Pharmacology, Wake Forest University School of Medicine, Medical Center Boulevard, Winston-Salem, NC 27157, USA.

出版信息

Sci Rep. 2015 Jun 26;5:11611. doi: 10.1038/srep11611.

Abstract

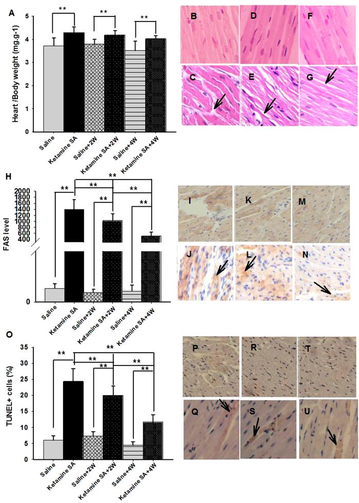
The current study was designed to investigate the effect of abstinence in combination with environmental enrichment (EE) on cardiac and renal toxicity induced by 2 weeks of ketamine self-administration (SA) in rodents. In Experiment 1, one group of rats underwent ketamine SA for 14 days. In Experiment 2, the animals completed 2 weeks of ketamine SA followed by 2 and 4 weeks of abstinence. In Experiment 3, animals underwent 14 days of ketamine SA and 4 weeks of abstinence in which isolated environment (IE) and EE was introduced. The corresponding control groups were included for each experiment. Two weeks of ketamine SA caused significant increases in organ weight, Apoptosis Stimulating Fragment/Kidney Injury Molecule-1, and apoptotic level of heart and kidney. The extended length of withdrawal from ketamine SA partially reduced toxicity on the heart and kidney. Finally, introduction of EE during the period of abstinence greatly promoted the effect of abstinence on ketamine-induced cardiac and renal toxicity. The interactive effect of EE and abstinence was promising to promote the recovery of cardiac and renal toxicity of ketamine.

摘要

本研究旨在探讨禁欲联合环境富集(EE)对啮齿动物因2周氯胺酮自我给药(SA)所致心脏和肾脏毒性的影响。在实验1中,一组大鼠进行了14天的氯胺酮SA。在实验2中,动物完成2周的氯胺酮SA,随后禁欲2周和4周。在实验3中,动物进行14天的氯胺酮SA和4周的禁欲,期间引入了隔离环境(IE)和EE。每个实验都设置了相应的对照组。2周的氯胺酮SA导致器官重量、凋亡刺激片段/肾损伤分子-1以及心脏和肾脏的凋亡水平显著增加。延长氯胺酮SA后的戒断时间可部分降低对心脏和肾脏的毒性。最后,在禁欲期间引入EE极大地促进了禁欲对氯胺酮诱导的心脏和肾脏毒性的影响。EE和禁欲的交互作用有望促进氯胺酮所致心脏和肾脏毒性的恢复。

https://cdn.ncbi.nlm.nih.gov/pmc/blobs/e017/4481381/7698a1633fb2/srep11611-f1.jpg

文献AI研究员

20分钟写一篇综述,助力文献阅读效率提升50倍。

立即体验

用中文搜PubMed

大模型驱动的PubMed中文搜索引擎

马上搜索

文档翻译

学术文献翻译模型,支持多种主流文档格式。

立即体验