Suppr超能文献

尼美舒利诱发白细胞破碎性血管炎和肝炎:一例报告

Nimesulide induced leukocytoclastic vasculitis and hepatitis: a case report.

作者信息

Bhattacharya Prasanta Kumar, Barman Bhupen, Roy Aakash, Jamil Md, Lyngdoh Monaliza, Mishra Jaya

机构信息

Department of General Medicine, North Eastern Indira Gandhi Regional Institute of Health and Medical Sciences (NEIGRIHMS) Mawdiangdiang, Shillong, 793018 Meghalaya India.

Department of Pathology, North Eastern Indira Gandhi Regional Institute of Health and Medical Sciences (NEIGRIHMS) Mawdiangdiang, Shillong, 793018 Meghalaya India.

出版信息

Springerplus. 2015 Jun 30;4:302. doi: 10.1186/s40064-015-1081-9. eCollection 2015.

Abstract

BACKGROUND

Nimesulide is a non-steroidal anti-inflammatory drug with antipyretic and analgesic properties, which is still used in many countries despite its known hepatotoxicity. Along with hepatotoxicity it has also been associated with several other Adverse Drug Reactions (ADRs) including leukocytoclastic vasculitis (LCV).

CASE DESCRIPTION

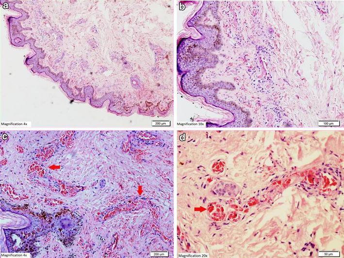
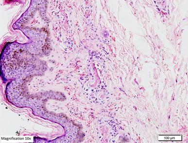
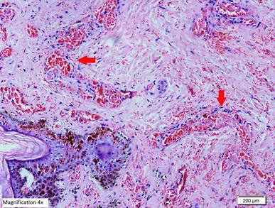
A 38 year-old female presented with history of acute onset fever for which she took tablet nimesulide and paracetamol combination (100 mg Nimesulide + 500 mg paracetamol tablet), 1 tab three times daily for 4 days, following which she developed rash all over the body. She also had clinical and biochemical evidence of acute hepatitis. Histopathological examination of the skin rash documented the presence of LCV. She was managed symptomatically with anti-inflammatory and supportive therapy and was not further exposed to nimesulide.

DISCUSSION AND EVALUATION

Our case demonstrates occurrence of acute hepatitis and LCV associated with nimesulide intake. The case meets the defining criteria for the diagnosis of LCV preceded by history of nimesulide intake. There was also clinical and biochemical evidence of hepato-cellular damage which supports the concurrent development of hepatitis along with the development of LCV following nimesulide use. To the best of our knowledge there is no previous published report of LCV and hepatitis occurring concurrently in the same patient following nimesulide intake. Nimesulide should be added to the list of agents associated with these serious adverse drug reactions.

CONCLUSIONS

Nimesulide has been a contentious drug over many years. Under such evidence of serious ADRs the scientific community should consider ensuring strict pharmacovigilance with respect to its use especially in the developing countries where such monitoring systems are inadequate.

摘要

背景

尼美舒利是一种具有解热和镇痛特性的非甾体抗炎药,尽管已知其具有肝毒性,但仍在许多国家使用。除肝毒性外,它还与包括白细胞破碎性血管炎(LCV)在内的其他几种药物不良反应(ADR)有关。

病例描述

一名38岁女性,有急性发热病史,她服用了尼美舒利和对乙酰氨基酚的复方片剂(100毫克尼美舒利 + 500毫克对乙酰氨基酚片),每日3次,每次1片,共服用4天,之后全身出现皮疹。她还有急性肝炎的临床和生化证据。皮疹的组织病理学检查证实存在LCV。对她进行了抗炎和支持性对症治疗,并且不再接触尼美舒利。

讨论与评估

我们的病例显示了与服用尼美舒利相关的急性肝炎和LCV的发生。该病例符合在服用尼美舒利病史之后诊断LCV的定义标准。也有肝细胞损伤的临床和生化证据,这支持了在使用尼美舒利后肝炎与LCV同时发生。据我们所知,此前没有关于同一患者在服用尼美舒利后同时发生LCV和肝炎的报道。尼美舒利应被列入与这些严重药物不良反应相关的药物名单中。

结论

多年来,尼美舒利一直是一种有争议的药物。在有这些严重ADR证据的情况下,科学界应考虑确保对其使用进行严格的药物警戒,尤其是在那些此类监测系统不完善的发展中国家。

https://cdn.ncbi.nlm.nih.gov/pmc/blobs/6cde/4485669/ff4a3782799c/40064_2015_1081_Fig1_HTML.jpg

文献AI研究员

20分钟写一篇综述,助力文献阅读效率提升50倍。

立即体验

用中文搜PubMed

大模型驱动的PubMed中文搜索引擎

马上搜索

文档翻译

学术文献翻译模型,支持多种主流文档格式。

立即体验