Suppr超能文献

Withaferin A选择性诱导雄激素非依赖性前列腺癌细胞死亡,而不诱导正常成纤维细胞死亡。

Withaferin A Induces Cell Death Selectively in Androgen-Independent Prostate Cancer Cells but Not in Normal Fibroblast Cells.

作者信息

Nishikawa Yukihiro, Okuzaki Daisuke, Fukushima Kohshiro, Mukai Satomi, Ohno Shouichi, Ozaki Yuki, Yabuta Norikazu, Nojima Hiroshi

机构信息

Department of Molecular Genetics, Research Institute for Microbial Diseases, Osaka University, 3-1 Yamadaoka, Suita City, Osaka, 565-0871, Japan.

Department of Molecular Genetics, Research Institute for Microbial Diseases, Osaka University, 3-1 Yamadaoka, Suita City, Osaka, 565-0871, Japan; DNA-chip Development Center for Infectious Diseases, Research Institute for Microbial Diseases, Osaka University, 3-1 Yamadaoka, Suita City, Osaka, 565-0871, Japan.

出版信息

PLoS One. 2015 Jul 31;10(7):e0134137. doi: 10.1371/journal.pone.0134137. eCollection 2015.

Abstract

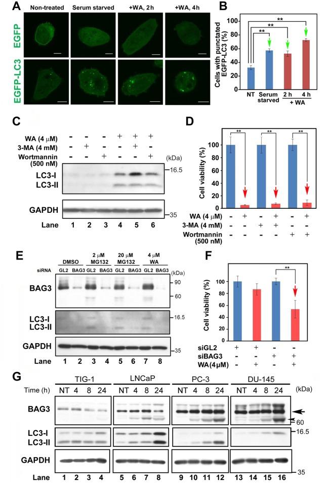
Withaferin A (WA), a major bioactive component of the Indian herb Withania somnifera, induces cell death (apoptosis/necrosis) in multiple types of tumor cells, but the molecular mechanism underlying this cytotoxicity remains elusive. We report here that 2 μM WA induced cell death selectively in androgen-insensitive PC-3 and DU-145 prostate adenocarcinoma cells, whereas its toxicity was less severe in androgen-sensitive LNCaP prostate adenocarcinoma cells and normal human fibroblasts (TIG-1 and KD). WA also killed PC-3 cells in spheroid-forming medium. DNA microarray analysis revealed that WA significantly increased mRNA levels of c-Fos and 11 heat-shock proteins (HSPs) in PC-3 and DU-145, but not in LNCaP and TIG-1. Western analysis revealed increased expression of c-Fos and reduced expression of the anti-apoptotic protein c-FLIP(L). Expression of HSPs such as HSPA6 and Hsp70 was conspicuously elevated; however, because siRNA-mediated depletion of HSF-1, an HSP-inducing transcription factor, reduced PC-3 cell viability, it is likely that these heat-shock genes were involved in protecting against cell death. Moreover, WA induced generation of reactive oxygen species (ROS) in PC-3 and DU-145, but not in normal fibroblasts. Immunocytochemistry and immuno-electron microscopy revealed that WA disrupted the vimentin cytoskeleton, possibly inducing the ROS generation, c-Fos expression and c-FLIP(L) suppression. These observations suggest that multiple events followed by disruption of the vimentin cytoskeleton play pivotal roles in WA-mediated cell death.

摘要

印度草药睡茄中的主要生物活性成分睡茄内酯A(WA)可诱导多种肿瘤细胞发生细胞死亡(凋亡/坏死),但其细胞毒性的分子机制仍不清楚。我们在此报告,2 μM的WA可选择性地诱导雄激素不敏感的PC-3和DU-145前列腺腺癌细胞死亡,而其对雄激素敏感的LNCaP前列腺腺癌细胞和正常人成纤维细胞(TIG-1和KD)的毒性较小。WA也可在成球培养基中杀死PC-3细胞。DNA微阵列分析显示,WA显著增加了PC-3和DU-145细胞中c-Fos和11种热休克蛋白(HSP)的mRNA水平,但在LNCaP和TIG-1细胞中未增加。蛋白质印迹分析显示c-Fos表达增加,抗凋亡蛋白c-FLIP(L)表达降低。HSPA6和Hsp70等热休克蛋白的表达明显升高;然而,由于小干扰RNA介导的热休克蛋白诱导转录因子HSF-1的缺失降低了PC-3细胞的活力,这些热休克基因可能参与了细胞死亡的保护过程。此外,WA可在PC-3和DU-145细胞中诱导活性氧(ROS)的产生,但在正常成纤维细胞中未诱导产生。免疫细胞化学和免疫电子显微镜显示,WA破坏了波形蛋白细胞骨架,可能诱导了ROS的产生、c-Fos的表达和c-FLIP(L)的抑制。这些观察结果表明,波形蛋白细胞骨架破坏后的多个事件在WA介导的细胞死亡中起关键作用。

https://cdn.ncbi.nlm.nih.gov/pmc/blobs/2663/4521694/aa3d6a8f1b89/pone.0134137.g001.jpg

文献AI研究员

20分钟写一篇综述,助力文献阅读效率提升50倍。

立即体验

用中文搜PubMed

大模型驱动的PubMed中文搜索引擎

马上搜索

文档翻译

学术文献翻译模型,支持多种主流文档格式。

立即体验