Drusco Alessandra, Bottoni Arianna, Laganà Alessandro, Acunzo Mario, Fassan Matteo, Cascione Luciano, Antenucci Anna, Kumchala Prasanthi, Vicentini Caterina, Gardiman Marina P, Alder Hansjuerg, Carosi Mariantonia A, Ammirati Mario, Gherardi Stefano, Luscrì Marilena, Carapella Carmine, Zanesi Nicola, Croce Carlo M
MVIMG, The Ohio State University, Columbus, OH, USA.
Dept. of Genetics and Genomic Sciences, Icahn School of Medicine at Mount Sinai, New York, NY, USA.
Oncotarget. 2015 Aug 28;6(25):20829-39. doi: 10.18632/oncotarget.4096.
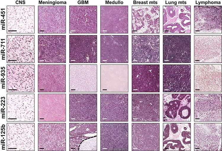
Central Nervous System malignancies often require stereotactic biopsy or biopsy for differential diagnosis, and for tumor staging and grading. Furthermore, stereotactic biopsy can be non-diagnostic or underestimate grading. Hence, there is a compelling need of new diagnostic biomarkers to avoid such invasive procedures. Several biological markers have been proposed, but they can only identify specific prognostic subtype of Central Nervous System tumors, and none of them has found a standardized clinical application.The aim of the study was to identify a Cerebro-Spinal Fluid microRNA signature that could differentiate among Central Nervous System malignancies.CSF total RNA of 34 neoplastic and of 14 non-diseased patients was processed by NanoString. Comparison among groups (Normal, Benign, Glioblastoma, Medulloblastoma, Metastasis and Lymphoma) lead to the identification of a microRNA profile that was further confirmed by RT-PCR and in situ hybridization.Hsa-miR-451, -711, 935, -223 and -125b were significantly differentially expressed among the above mentioned groups, allowing us to draw an hypothetical diagnostic chart for Central Nervous System malignancies.This is the first study to employ the NanoString technique for Cerebro-Spinal Fluid microRNA profiling. In this article, we demonstrated that Cerebro-Spinal Fluid microRNA profiling mirrors Central Nervous System physiologic or pathologic conditions. Although more cases need to be tested, we identified a diagnostic Cerebro-Spinal Fluid microRNA signature with good perspectives for future diagnostic clinical applications.
中枢神经系统恶性肿瘤通常需要进行立体定向活检或活检以进行鉴别诊断、肿瘤分期和分级。此外,立体定向活检可能无法得出诊断结果或低估分级。因此,迫切需要新的诊断生物标志物来避免此类侵入性操作。已经提出了几种生物标志物,但它们只能识别中枢神经系统肿瘤的特定预后亚型,而且它们都尚未获得标准化的临床应用。本研究的目的是确定一种能够区分中枢神经系统恶性肿瘤的脑脊液微小RNA特征。对34例肿瘤患者和14例非患病患者的脑脊液总RNA进行了NanoString分析。通过对各组(正常、良性、胶质母细胞瘤、髓母细胞瘤、转移瘤和淋巴瘤)进行比较,确定了一种微小RNA谱,该谱通过逆转录-聚合酶链反应(RT-PCR)和原位杂交得到进一步证实。hsa-miR-451、-711、935、-223和-125b在上述各组中存在显著差异表达,这使我们能够绘制出一份中枢神经系统恶性肿瘤的假设诊断图表。这是第一项采用NanoString技术进行脑脊液微小RNA分析的研究。在本文中,我们证明了脑脊液微小RNA分析反映了中枢神经系统的生理或病理状况。尽管需要测试更多病例,但我们确定了一种具有良好前景的脑脊液诊断性微小RNA特征,可用于未来的诊断临床应用。