Suppr超能文献

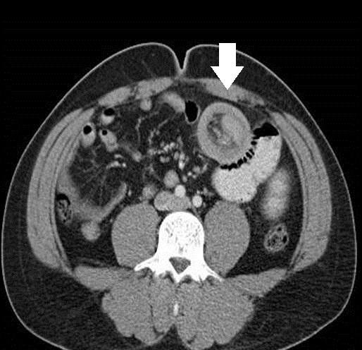
Adult Intussusception Secondary to Inflammatory Fibroid Polyp.

作者信息

Kimura Nobuhiko, Hight Michael, Liang James, Willy Ronald, Liang Kimberly, Camp Jacob

机构信息

Naval Hospital Okinawa, Emergency Department, Okinawa, Japan.

出版信息

West J Emerg Med. 2015 Jul;16(4):581-2. doi: 10.5811/westjem.2015.4.26399. Epub 2015 Jun 23.

Abstract
摘要
https://cdn.ncbi.nlm.nih.gov/pmc/blobs/9711/4530921/7f0122b38d01/wjem-16-581-g001.jpg

文献AI研究员

20分钟写一篇综述,助力文献阅读效率提升50倍。

立即体验

用中文搜PubMed

大模型驱动的PubMed中文搜索引擎

马上搜索

文档翻译

学术文献翻译模型,支持多种主流文档格式。

立即体验