Suppr超能文献

Isolated Right Ventricular Dilated Cardiomyopathy: An Early Diagnosis.

作者信息

Briongos Figuero Sem, Acena Navarro Alvaro

机构信息

Cardiology Department, Infanta Leonor Hospital, Madrid, Spain.

Cardiology Department, Foundation Jimenez Diaz Hospital, Madrid, Spain.

出版信息

J Clin Med Res. 2015 Oct;7(10):817-9. doi: 10.14740/jocmr2165w. Epub 2015 Aug 23.

Abstract

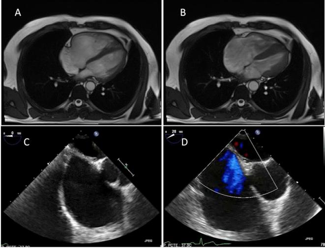
Because of an incomplete right bundle branch block, a severe right ventricular dilatation with no left ventricular cardiomyopathy was found in a 44-year-old man. Magnetic resonance and transesophageal echocardiography confirmed the finding and these tests also failed to find any potential cause. A pulmonary hemodynamic study and a coronary angiography were strictly normal. Lastly pulmonary function tests and a pulmonary angiography were performed, which did not find any lung disease causing the right ventricular dilatation. The patient was catalogued as an early stage of an idiopathic form of right ventricular dilated cardiomyopathy.

摘要
https://cdn.ncbi.nlm.nih.gov/pmc/blobs/293c/4554224/1530f9861f7d/jocmr-07-817-g001.jpg

文献AI研究员

20分钟写一篇综述,助力文献阅读效率提升50倍。

立即体验

用中文搜PubMed

大模型驱动的PubMed中文搜索引擎

马上搜索

文档翻译

学术文献翻译模型,支持多种主流文档格式。

立即体验