Suppr超能文献

1例胃癌患者在全身化疗后仅主动脉旁淋巴结残留肿瘤,随后接受了转化手术。

A Case of Gastric Cancer with Residual Tumor Only in the Para-Aortic Lymph Nodes after Systemic Chemotherapy followed by Conversion Surgery.

作者信息

Tsutsuyama Masayuki, Ito Seiji, Ito Yuichi, Misawa Kazunari, Kawakami Jiro, Natsume Seiji, Uemura Norihisa, Kinoshita Takashi, Kimura Kenya, Senda Yoshiki, Abe Tetsuya, Komori Koji, Yatabe Yasushi, Niwa Yasumasa, Shimizu Yasuhiro, Kinoshita Taira

机构信息

Department of Gastroenterological Surgery, Aichi Cancer Center Hospital, Nagoya, Japan.

Department of Pathology and Molecular Diagnostics, Aichi Cancer Center Hospital, Nagoya, Japan.

出版信息

Case Rep Oncol. 2015 Jul 31;8(2):312-22. doi: 10.1159/000438698. eCollection 2015 May-Aug.

Abstract

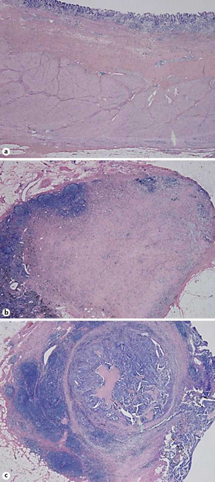
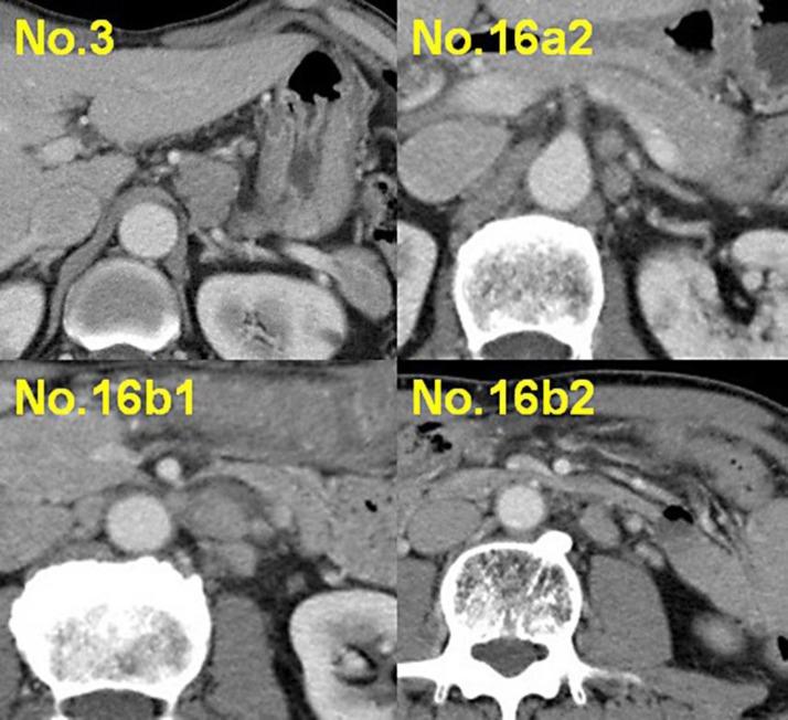
We report the case of a 60-year-old male who was diagnosed with gastric cancer. Upper gastrointestinal endoscopy indicated advanced cancer in the posterior wall of the gastric body. Biopsy revealed poorly differentiated adenocarcinoma. Abdominal computed tomography demonstrated thickening of the gastric wall and enlargement of the regional lymph nodes and of the para-aortic lymph nodes (PAN). The involvement of the PAN extended from the celiac axis to the caudal area of the inferior mesenteric artery [cT3N3aH0P0M1(LYM), stage IV]. Systemic chemotherapy was initiated. After 3 courses of S-1 plus cisplatin combination chemotherapy, the primary lesion and the enlarged lymph nodes revealed marked regression except for a minute residual lesion in the lymph nodes. Upon obtaining informed consent, open distal gastrectomy, D2 lymphadenectomy with PAN dissection, and Roux-en-Y reconstruction were performed. The patient was discharged from the hospital 35 days after the operation. Histopathological examination of the resected samples revealed malignant cells only in the PAN, not in the stomach or in the regional lymph nodes [ypT0N0M1(LYM), stage IV]. Currently, the patient is undergoing postoperative adjuvant chemotherapy with S-1 and has remained well without any recurrence after 6 months following surgery.

摘要

我们报告一例60岁男性胃癌患者。上消化道内镜检查显示胃体后壁为进展期癌。活检显示为低分化腺癌。腹部计算机断层扫描显示胃壁增厚,区域淋巴结及腹主动脉旁淋巴结(PAN)肿大。PAN受累范围从腹腔干延伸至肠系膜下动脉尾部区域[cT3N3aH0P0M1(LYM),IV期]。遂开始全身化疗。在进行3个疗程的S-1联合顺铂化疗后,除淋巴结有微小残留病灶外,原发灶及肿大淋巴结均显示明显消退。在获得知情同意后,实施了远端胃大部切除术、D2淋巴结清扫及PAN清扫,并进行了Roux-en-Y重建。患者术后35天出院。切除标本的组织病理学检查显示,仅在PAN中有恶性细胞,胃及区域淋巴结未见恶性细胞[ypT0N0M1(LYM),IV期]。目前,患者正在接受S-1辅助化疗,术后6个月无任何复发,情况良好。

https://cdn.ncbi.nlm.nih.gov/pmc/blobs/f8e8/4560297/a05308bb7084/cro-0008-0312-g01.jpg

文献AI研究员

20分钟写一篇综述,助力文献阅读效率提升50倍。

立即体验

用中文搜PubMed

大模型驱动的PubMed中文搜索引擎

马上搜索

文档翻译

学术文献翻译模型,支持多种主流文档格式。

立即体验