Suppr超能文献

肝脏炎性肌纤维母细胞瘤:诊断挑战。

Inflammatory Myofibroblastic Tumor of the Liver: A Diagnostic Challenge.

机构信息

Department of Pathology, Akdeniz University Medical School, Antalya, Turkey.

出版信息

J Clin Transl Hepatol. 2014 Mar;2(1):53-7. doi: 10.14218/JCTH.2013.00023. Epub 2014 Mar 15.

Abstract

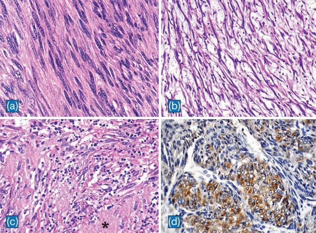
Inflammatory myofibroblastic tumor (IMT) is an uncommon myofibroblastic neoplasm that was formerly included within the broad category of inflammatory pseudotumor (IPT). IMT is rarely encountered in the liver. Similar to IMT of other organs, the interchangeable use of the terms IMT and IPT in liver has made the analysis of these lesions difficult. In this review, clinical and pathological features of IMT of the liver are reviewed and the differential diagnosis of IMT is discussed, with emphasis on IPT and the other entities included in this large category. IMT can mimic malignant tumors. There are no known unique diagnostic clinical, laboratory, or radiological features. The definitive diagnosis of IMT depends on careful pathological examination. The histopathological evaluation of hepatic IMT reveals that, the myxoid/vascular pattern is the most frequently observed, followed by, in decreasing frequency, fibrous histiocytoma-like pattern and hypocellular fibrous pattern. In IMT of the liver, anaplastic lymphoma kinase (ALK) expression reliably predicts the presence of an ALK gene rearrangement. The diagnosis of hepatic IMT depends on the dominant histopathological pattern, and the management of the disease is still controversial. IMT of the liver is a distinctive neoplasm of intermediate biological potential, and should be distinguished from the variety of lesions that are included under the broad category of IPT. Therefore, to avoid confusion regarding the true incidence and behavior of hepatic IMT, the term IPT should not be used interchangeably with IMT. The rarity of IMT in liver should not minimize its consideration in the differential diagnosis of liver tumors, especially in patients with tumor markers in normal range.

摘要

炎性肌纤维母细胞瘤(IMT)是一种罕见的肌纤维母细胞肿瘤,以前包含在广泛的炎性假瘤(IPT)类别中。肝内 IMT 很少见。与其他器官的 IMT 相似,在肝脏中互换使用 IMT 和 IPT 这两个术语使得这些病变的分析变得困难。在这篇综述中,回顾了肝脏 IMT 的临床和病理特征,并讨论了 IMT 的鉴别诊断,重点是 IPT 和包含在这个大类别中的其他实体。IMT 可模拟恶性肿瘤。目前尚无可知的独特诊断临床、实验室或影像学特征。IMT 的明确诊断取决于仔细的病理检查。肝脏 IMT 的组织病理学评估表明,黏液样/血管模式是最常观察到的,其次是纤维组织细胞瘤样模式和低细胞纤维模式,频率逐渐降低。在肝脏 IMT 中,间变性淋巴瘤激酶(ALK)的表达可靠地预测存在 ALK 基因重排。肝脏 IMT 的诊断取决于主要的组织病理学模式,疾病的治疗仍存在争议。肝脏 IMT 是一种具有中等生物学潜力的独特肿瘤,应与包含在广泛的 IPT 类别下的多种病变区分开来。因此,为了避免混淆肝脏 IMT 的真实发生率和行为,不应将术语 IPT 与 IMT 互换使用。肝脏 IMT 的罕见性不应低估其在肝脏肿瘤鉴别诊断中的作用,尤其是在肿瘤标志物正常范围内的患者中。

https://cdn.ncbi.nlm.nih.gov/pmc/blobs/75fa/4521256/10abed9b78c1/JCTH-2-053-g001.jpg

文献AI研究员

20分钟写一篇综述,助力文献阅读效率提升50倍。

立即体验

用中文搜PubMed

大模型驱动的PubMed中文搜索引擎

马上搜索

文档翻译

学术文献翻译模型,支持多种主流文档格式。

立即体验