Suppr超能文献

肾细胞癌经皮活检后的针道种植。

Needle tract seeding following percutaneous biopsy of renal cell carcinoma.

作者信息

Chang Dwayne T S, Sur Hariom, Lozinskiy Mikhail, Wallace David M A

机构信息

Department of Urology, Rockingham General Hospital, Perth, Australia.

出版信息

Korean J Urol. 2015 Sep;56(9):666-9. doi: 10.4111/kju.2015.56.9.666. Epub 2015 Sep 2.

Abstract

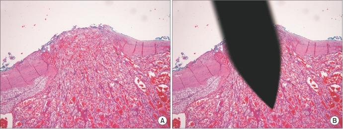
A 66-year-old man underwent computed tomography-guided needle biopsy of a suspicious renal mass. Two months later he underwent partial nephrectomy. Histology revealed a 30-mm clear cell renal cell carcinoma, up to Fuhrman grade 3. An area of the capsule was interrupted, which corresponded to a hemorrhagic area on the cortical surface. Under microscopy, this area showed a tongue of tumor tissue protruding through the renal capsule. A tumor deposit was found in the perinephric fat. These features suggest that tumor seeding may have occurred during the needle biopsy.

摘要

一名66岁男性接受了计算机断层扫描引导下的可疑肾肿块穿刺活检。两个月后,他接受了部分肾切除术。组织学检查显示为一个30毫米的透明细胞肾细胞癌,最高为福尔曼3级。包膜的一个区域中断,对应于皮质表面的一个出血区域。在显微镜下,该区域可见肿瘤组织舌状突出穿过肾包膜。在肾周脂肪中发现了肿瘤沉积物。这些特征提示在穿刺活检过程中可能发生了肿瘤种植。

https://cdn.ncbi.nlm.nih.gov/pmc/blobs/2a11/4565902/7bc01b065928/kju-56-666-g001.jpg

文献AI研究员

20分钟写一篇综述,助力文献阅读效率提升50倍。

立即体验

用中文搜PubMed

大模型驱动的PubMed中文搜索引擎

马上搜索

文档翻译

学术文献翻译模型,支持多种主流文档格式。

立即体验