Suppr超能文献

鸟类相关过敏性肺炎小鼠模型中的白细胞介素-17A与中性粒细胞

Interleukin-17A and Neutrophils in a Murine Model of Bird-Related Hypersensitivity Pneumonitis.

作者信息

Ishizuka Masahiro, Miyazaki Yasunari, Masuo Masahiro, Suhara Kozo, Tateishi Tomoya, Yasui Makito, Inase Naohiko

机构信息

Department of Respiratory Medicine, Tokyo Medical and Dental University, Tokyo, Japan.

出版信息

PLoS One. 2015 Sep 14;10(9):e0137978. doi: 10.1371/journal.pone.0137978. eCollection 2015.

Abstract

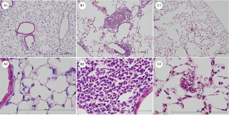
Hypersensitivity pneumonitis (HP) is an immune mediated lung disease induced by the repeated inhalation of a wide variety of antigens. Bird-related hypersensitivity pneumonitis (BRHP) is one of the most common forms of HP in human and results from the inhalation of avian antigens. The findings of a recent clinical analysis suggest that in addition to Th1 factors, the levels of interleukin(IL)-17 and IL-17-associated transcripts are increased in the setting of HP, and that both IL-17A and neutrophils are crucial for the development of pulmonary inflammation in murine models of HP. Our objectives were to investigate the roles of IL-17A and neutrophils in granuloma-forming inflammation in an acute HP model. We developed a mouse model of acute BRHP using pigeon dropping extract. We evaluated the process of granuloma formation and the roles of both IL-17A and neutrophils in a model. We found that the neutralization of IL-17A by the antibody attenuated granuloma formation and the recruitment of neutrophils, and also decreased the expression level of chemokine(C-X-C motif) ligand 5 (CXCL5) in the acute HP model. We confirmed that most of the neutrophils in the acute HP model exhibited immunoreactivity to the anti-IL-17 antibody. We have identified the central roles of both IL-17A and neutrophils in the pathogenesis of granuloma formation in acute HP. We have also assumed that neutrophils are an important source of IL-17A in an acute HP model, and that the IL-17A-CXCL5 pathway may be responsible for the recruitment of neutrophils.

摘要

过敏性肺炎(HP)是一种由反复吸入多种抗原引起的免疫介导性肺部疾病。鸟类相关过敏性肺炎(BRHP)是人类最常见的HP形式之一,由吸入禽类抗原所致。最近一项临床分析结果表明,在HP发病过程中,除Th1因子外,白细胞介素(IL)-17及IL-17相关转录本水平升高,且在HP小鼠模型中,IL-17A和中性粒细胞对肺部炎症的发生发展均至关重要。我们的目的是研究IL-17A和中性粒细胞在急性HP模型中肉芽肿形成性炎症中的作用。我们使用鸽粪提取物建立了急性BRHP小鼠模型。我们在该模型中评估了肉芽肿形成过程以及IL-17A和中性粒细胞的作用。我们发现,在急性HP模型中,抗体对IL-17A的中和作用减弱了肉芽肿形成和中性粒细胞募集,还降低了趋化因子(C-X-C基序)配体5(CXCL5)的表达水平。我们证实,急性HP模型中的大多数中性粒细胞对抗IL-17抗体呈免疫反应性。我们确定了IL-17A和中性粒细胞在急性HP肉芽肿形成发病机制中的核心作用。我们还推测,中性粒细胞是急性HP模型中IL-17A的重要来源,且IL-17A-CXCL5途径可能负责中性粒细胞的募集。

https://cdn.ncbi.nlm.nih.gov/pmc/blobs/6443/4569356/8ecf37591e7b/pone.0137978.g001.jpg

文献AI研究员

20分钟写一篇综述,助力文献阅读效率提升50倍。

立即体验

用中文搜PubMed

大模型驱动的PubMed中文搜索引擎

马上搜索

文档翻译

学术文献翻译模型,支持多种主流文档格式。

立即体验