Suppr超能文献

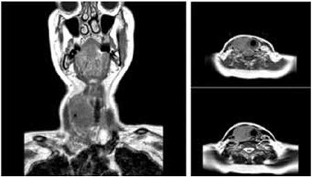
Rapidly Growing Thyroid Mass: An Unusual Case of Acute Lymphoblastic Leukemia.

作者信息

Özdemirkıran Füsun, Oruk Gonca, Payzin Bahriye, Gümüş Zeynep, Koruyucu Melike, Atasever Türkan, Küçükzeybek Betül, Esen Özgür

机构信息

Katip Çelebi University Faculty of Medicine, Atatürk Training and Research Hospital, Clinic of Hematology,
İzmir, Turkey E-mail:

出版信息

Turk J Haematol. 2015 Sep;32(3):276-8. doi: 10.4274/tjh.2015.0136.

Abstract
摘要
https://cdn.ncbi.nlm.nih.gov/pmc/blobs/5684/4563207/4fbd18109e81/TJH-32-276-g1.jpg

文献AI研究员

20分钟写一篇综述,助力文献阅读效率提升50倍。

立即体验

用中文搜PubMed

大模型驱动的PubMed中文搜索引擎

马上搜索

文档翻译

学术文献翻译模型,支持多种主流文档格式。

立即体验