Suppr超能文献

腰椎手术并发症的影像学检查

Imaging of lumbar spinal surgery complications.

作者信息

Malhotra Ajay, Kalra Vivek B, Wu Xiao, Grant Ryan, Bronen Richard A, Abbed Khalid M

机构信息

Department of Diagnostic Radiology, Yale School of Medicine, Box 208042, Tompkins East 2, 333 Cedar St, New Haven, CT, 06520-8042, USA.

Department of Neurosurgery, Yale School of Medicine, New Haven, CT, USA.

出版信息

Insights Imaging. 2015 Dec;6(6):579-90. doi: 10.1007/s13244-015-0435-8. Epub 2015 Oct 2.

Abstract

UNLABELLED

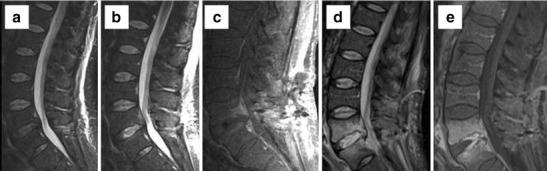
Lumbar spine surgery for spinal stenosis is a frequently performed procedure and was the fastest growing type of surgery in the US from 1980 to 2000. With increasing surgical invasiveness, postoperative complications also tend to be higher. Cross-sectional imaging techniques (CT and MRI) are more sensitive than radiographs and play an increasingly important role in evaluation of patients with lumbar spine surgery. Their use in patients with metallic implants is somewhat limited by artefacts, which can obscure pathology and decrease accuracy and reader confidence. Metal artefact reduction techniques have been developed, which can significantly improve image quality and enable early detection of postoperative complications. Complications can occur throughout postoperative course. Early complications include hardware displacement, incidental durotomy, postoperative collections-most commonly seroma, and less likely haematoma and/or infection. Incidental durotomy with CSF leak causing intracranial hypotension has characteristic MR brain findings and diagnosis of occult leak sites have been improved with use of dynamic CT myelography. Haematomas, even when compressing the thecal sac, are usually asymptomatic. Early infection, with nonspecific MR findings, can be diagnosed accurately using dual radiotracer studies. Delayed complications include loosening, hardware failure, symptomatic new or recurrent disc herniation, peri-/epidural fibrosis, arachnoiditis, and radiculitis.

TEACHING POINTS

• CT and MRI play an increasingly important role in evaluation of patients with lumbar spine surgery • Complications can occur throughout the postoperative course and early detection is critical • Artefact reduction techniques can improve image quality for early and improved detection of complications.

摘要

未标注

腰椎管狭窄症的腰椎手术是一种常见的手术,并且是1980年至2000年美国增长最快的手术类型。随着手术侵袭性的增加,术后并发症也往往更高。横断面成像技术(CT和MRI)比X线片更敏感,在腰椎手术患者的评估中发挥着越来越重要的作用。它们在有金属植入物的患者中的应用在一定程度上受到伪影的限制,伪影会掩盖病变并降低准确性和阅片者的信心。已经开发出减少金属伪影的技术,可显著提高图像质量并有助于早期发现术后并发症。并发症可发生在整个术后过程中。早期并发症包括内固定移位、意外硬脊膜切开、术后积液——最常见的是血清肿,较少见血肿和/或感染。意外硬脊膜切开伴脑脊液漏导致颅内低压有特征性的脑部MRI表现,使用动态CT脊髓造影可改善隐匿性漏出部位的诊断。血肿即使压迫硬脊膜囊通常也无症状。早期感染的MRI表现不具特异性,使用双放射性示踪剂研究可准确诊断。延迟并发症包括内固定松动、内固定失败、有症状的新发或复发性椎间盘突出、椎周/硬膜外纤维化、蛛网膜炎和神经根炎。

教学要点

• CT和MRI在腰椎手术患者的评估中发挥着越来越重要的作用 • 并发症可发生在整个术后过程中,早期发现至关重要 • 减少伪影技术可改善图像质量,以便早期发现并更好地检测并发症

https://cdn.ncbi.nlm.nih.gov/pmc/blobs/a507/4656239/7b7d2bbe42a3/13244_2015_435_Fig1_HTML.jpg

文献AI研究员

20分钟写一篇综述,助力文献阅读效率提升50倍。

立即体验

用中文搜PubMed

大模型驱动的PubMed中文搜索引擎

马上搜索

文档翻译

学术文献翻译模型,支持多种主流文档格式。

立即体验