Suppr超能文献

使用置于前正中线和右腋前线的探头测量下腔静脉/主动脉指数的超声评估——一项比较研究。

Sonographic assessment of the inferior vena cava/aorta index measured with the transducer placed in the anterior median line and right anterior axillary line - a comparison.

作者信息

Luboch Monika, Łoś Magdalena, Szmygel Łukasz, Kosiak Wojciech

机构信息

Ultrasound Student Association at the Laboratory of Diagnostic Ultrasound and Biopsy, Department of Pediatrics, Oncology, Hematology and Endocrinology, University Clinical Center in Gdańsk, Gdańsk, Poland.

Department of Pediatrics, Diabetology and Endocrinology, University Clinical Center in Gdańsk, Gdańsk, Poland.

出版信息

J Ultrason. 2014 Sep;14(58):280-6. doi: 10.15557/JoU.2014.0028. Epub 2014 Sep 30.

Abstract

UNLABELLED

The aim of the study was to compare the values of the sonographic inferior vena cava/ aorta index obtained with the transducer placed in the median line and right anterior axillary line.

MATERIAL AND METHODS

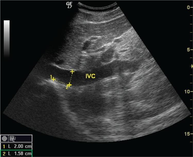
The study enrolled 45 volunteers, including 33 women, aged 22.5 ± 1.26 with a negative history of circulatory and renal diseases. The study consisted in a sonographic assessment and measurement of the inferior vena cava and aorta by placing the transducer in the anterior median line and right anterior axillary line. The value of the inferior vena cava/aorta index was obtained by calculating the ratio of the diameters of the inferior vena cava and aorta. The diameter measurements were taken by placing the ultrasound transducer in the anterior median line and right anterior axillary line. Two examiners performed the measurement three times and used convex probes of 3.5-5 MHz. Additionally, the subjects' weight, height and arterial blood pressure were taken.

RESULTS

Following a statistical analysis with the use of STATISTICA software, the following values of the inferior vena cava/aorta index were obtained: in the anterior median line - 1.43 ± 0.21, and in the right anterior axillary line - 1.285 ± 0.19. There was no statistically significant difference between the measurements obtained by the two examiners (p = 0.17). A strong correlation was noted between the inferior vena cava/ aorta indices calculated in both sites of transducer placement, which was irrespective of the examiners (the correlation coefficient: r = 0.61 and r = 0.71). The study indicate that the inferior vena cava/aorta index measured in the right anterior axillary line is a simple and reproducible method for determining the body fluid status; the examinations conducted in both sites may be used interchangeably. Further studies are needed to determine reference values for the inferior vena cava/aorta index measured in the right anterior axillary line.

摘要

未标注

本研究的目的是比较将探头置于中线和右腋前线时获得的超声下腔静脉/主动脉指数的值。

材料与方法

本研究纳入了45名志愿者,其中包括33名女性,年龄为22.5±1.26岁,无循环系统和肾脏疾病史。研究包括通过将探头置于前中线和右腋前线对下腔静脉和主动脉进行超声评估和测量。下腔静脉/主动脉指数的值通过计算下腔静脉和主动脉直径的比值获得。直径测量是通过将超声探头置于前中线和右腋前线进行的。两名检查者进行了三次测量,并使用了3.5 - 5MHz的凸阵探头。此外,还测量了受试者的体重、身高和动脉血压。

结果

使用STATISTICA软件进行统计分析后,获得了以下下腔静脉/主动脉指数的值:在前中线为1.43±0.21,在右腋前线为1.285±0.19。两名检查者获得的测量值之间无统计学显著差异(p = 0.17)。在两个探头放置部位计算的下腔静脉/主动脉指数之间存在强相关性,且与检查者无关(相关系数:r = 0.61和r = 0.71)。研究表明,在右腋前线测量的下腔静脉/主动脉指数是确定体液状态的一种简单且可重复的方法;在两个部位进行的检查可以互换使用。需要进一步研究以确定在右腋前线测量的下腔静脉/主动脉指数的参考值。

https://cdn.ncbi.nlm.nih.gov/pmc/blobs/e546/4579682/2f69f6b2ef0e/JoU-2014-0028-g001.jpg

文献AI研究员

20分钟写一篇综述,助力文献阅读效率提升50倍。

立即体验

用中文搜PubMed

大模型驱动的PubMed中文搜索引擎

马上搜索

文档翻译

学术文献翻译模型,支持多种主流文档格式。

立即体验