Suppr超能文献

嗅神经母细胞瘤的颅内和脊髓软脑膜播散:两例中枢神经系统远处转移报告及治疗依据

Cranial and spinal leptomeningeal dissemination in esthesioneuroblastoma: Two reports of distant central nervous system metastasis and rationale for treatment.

作者信息

Sivakumar Walavan, Oh Nathan, Cutler Aaron, Colman Howard, Couldwell William T

机构信息

Department of Neurosurgery, Clinical Neurosciences Center, University of Utah, Salt Lake City, Utah 84132, USA.

Department of Neurosurgery, Loma Linda University, Loma Linda, California 92354, USA.

出版信息

Surg Neurol Int. 2015 Nov 25;6(Suppl 25):S628-32. doi: 10.4103/2152-7806.170464. eCollection 2015.

Abstract

BACKGROUND

Esthesioneuroblastoma is a locally aggressive cancer of the nasal cavity. While systemic metastasis can occur in 10-30% of patients, there are only six reported cases of distal metastasis from leptomeningeal dissemination.

CASE DESCRIPTION

The authors report two cases of esthesioneuroblastoma treated previously with multimodal therapy in which distal metastatic recurrence was found and describe their treatment protocol, which has resulted in long-term success.

CONCLUSION

Understanding the drivers of leptomeningeal dissemination in more prevalent primary neuroectodermal tumors may hold the key to developing successful treatment algorithms for this disease.

摘要

背景

嗅神经母细胞瘤是鼻腔的一种局部侵袭性癌症。虽然10% - 30%的患者可能发生全身转移,但仅有6例经软脑膜播散导致远处转移的报道。

病例描述

作者报告了2例先前接受多模式治疗的嗅神经母细胞瘤病例,其中发现了远处转移性复发,并描述了他们的治疗方案,该方案已取得长期成功。

结论

了解更常见的原发性神经外胚层肿瘤中软脑膜播散的驱动因素可能是开发该疾病成功治疗算法的关键。

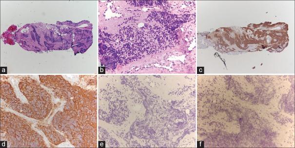
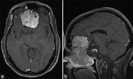
https://cdn.ncbi.nlm.nih.gov/pmc/blobs/1c0d/4672577/44a710eb16ea/SNI-6-628-g001.jpg

相似文献

3
Late occurrence of drop metastasis to the spine in a case of esthesioneuroblastoma.
J Neurosurg Spine. 2011 Nov;15(5):571-5. doi: 10.3171/2011.6.SPINE11157. Epub 2011 Jul 29.
4
Recurrent Olfactory Neuroblastoma in Remote Leptomeninges, Mimicking Intracranial Meningioma.
World Neurosurg. 2016 Dec;96:612.e9-612.e14. doi: 10.1016/j.wneu.2016.08.126. Epub 2016 Sep 5.
7
Esthesioneuroblastoma: a case report.
Nepal Med Coll J. 2010 Jun;12(2):128-32.
8
Interstitial high-dose-rate-brachytherapy in advanced esthesioneuroblastoma.
Laryngoscope. 2008 Nov;118(11):2006-10. doi: 10.1097/MLG.0b013e3181801d05.
9
Olfactory neuroblastoma with orbital protrusion arising in the background of maxillary carcinoma.
J Surg Case Rep. 2024 Aug 21;2024(8):rjae484. doi: 10.1093/jscr/rjae484. eCollection 2024 Aug.
10
Leptomeningeal metastasis from neuroendocrine carcinoma of the cervix: illustrative case.
J Neurosurg Case Lessons. 2023 Jan 30;5(5). doi: 10.3171/CASE22457.

引用本文的文献

2
CyberKnife Radiosurgery for Spinal Leptomeningeal Metastases Secondary to Esthesioneuroblastoma: A Clinical Case Report.
Cureus. 2023 May 31;15(5):e39791. doi: 10.7759/cureus.39791. eCollection 2023 May.
3
Metastatic esthesioneuroblastoma with widespread recurrence to the central nervous system.
Surg Neurol Int. 2023 Mar 3;14:77. doi: 10.25259/SNI_1137_2022. eCollection 2023.
4
Non-contiguous Meningeal Recurrence of Olfactory Neuroblastoma: A Case Report and Literature Review.
NMC Case Rep J. 2018 Jun 28;5(3):69-72. doi: 10.2176/nmccrj.cr.2017-0233. eCollection 2018 Jul.
5
Olfactory neuroblastoma followed by emergency surgery for symptomatic intradural spinal metastasis: A case report.
Surg Neurol Int. 2016 Aug 23;7:77. doi: 10.4103/2152-7806.188915. eCollection 2016.

本文引用的文献

1
Possible esthesioneuroblastoma metastasis to paranasal sinuses: Clinical report and literature review.
Head Neck. 2016 Feb;38(2):E32-6. doi: 10.1002/hed.24095. Epub 2015 Jul 14.
2
Multiple intradural spinal metastases of esthesioneuroblastoma: A case report.
Br J Neurosurg. 2015;29(4):579-81. doi: 10.3109/02688697.2015.1016889. Epub 2015 Mar 26.
3
Genetic drivers of metastatic dissemination in sonic hedgehog medulloblastoma.
Acta Neuropathol Commun. 2014 Jul 25;2:85. doi: 10.1186/s40478-014-0085-y.
5
Patterns of regional spread for esthesioneuroblastoma.
AJNR Am J Neuroradiol. 2011 May;32(5):929-33. doi: 10.3174/ajnr.A2401. Epub 2011 Feb 24.
6
Esthesioneuroblastoma methods of intracranial extension: CT and MR imaging findings.
Neuroradiology. 2009 Dec;51(12):841-50. doi: 10.1007/s00234-009-0581-0. Epub 2009 Aug 11.
7
Esthesioneuroblastoma metastatic to the thoracic intradural and extradural space.
Spine J. 2009 May;9(5):e1-5. doi: 10.1016/j.spinee.2008.08.010. Epub 2008 Sep 19.
8
Esthesioneuroblastoma.
Curr Treat Options Oncol. 2005 Nov;6(6):509-18. doi: 10.1007/s11864-005-0029-7.
9
Pure distant, leptomeningeal metastasis of esthesioneuro-epithelioma.
Acta Neurochir (Wien). 2004 Sep;146(9):1043-5. doi: 10.1007/s00701-004-0326-0. Epub 2004 Jul 19.
10
Esthesioneuroblastoma: a Danish demographic study of 40 patients registered between 1978 and 2000.
Acta Otolaryngol. 2003 Apr;123(3):433-9. doi: 10.1080/00016480310001295.

文献AI研究员

20分钟写一篇综述,助力文献阅读效率提升50倍。

立即体验

用中文搜PubMed

大模型驱动的PubMed中文搜索引擎

马上搜索

文档翻译

学术文献翻译模型,支持多种主流文档格式。

立即体验