Suppr超能文献

人羊膜间充质干细胞通过影响ERK1/2信号通路促进人骨髓间充质干细胞的成骨分化。

Human Amnion-Derived Mesenchymal Stem Cells Promote Osteogenic Differentiation in Human Bone Marrow Mesenchymal Stem Cells by Influencing the ERK1/2 Signaling Pathway.

作者信息

Wang Yuli, Jiang Fei, Liang Yi, Shen Ming, Chen Ning

机构信息

Jiangsu Key Laboratory of Oral Diseases, Nanjing Medical University, No. 140, Han Zhong Road, Nanjing, Jiangsu 210029, China.

出版信息

Stem Cells Int. 2016;2016:4851081. doi: 10.1155/2016/4851081. Epub 2015 Nov 30.

Abstract

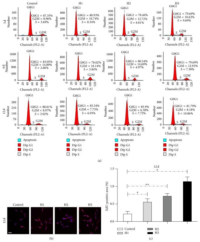
Human amnion-derived mesenchymal stem cells (HAMSCs) are considered to be an important resource in the field of tissue engineering because of their anti-inflammatory properties and fewer ethical issues associated with their use compared with other sources of stem cells. HAMSCs can be obtained from human amniotic membranes, a readily available and abundant tissue. However, the potential of HAMSCs as seed cells for treating bone deficiency is unknown. In this study, HAMSCs were used to promote proliferation and osteoblastic differentiation in human bone marrow mesenchymal stem cells (HBMSCs) in a Transwell coculture system. Proliferation levels were investigated by flow cytometry and immunofluorescence staining of 5-ethynyl-2'-deoxyuridine (EdU). Osteoblastic differentiation and mineralization were evaluated in chromogenic alkaline phosphatase (ALP) activity substrate assays, Alizarin red S staining, and RT-PCR analysis of early HBMSCs osteogenic marker expression. We demonstrated that HAMSCs stimulated increased alkaline phosphatase (ALP) activity, mRNA expression of osteogenic marker genes, and mineralized matrix deposition. Moreover, the effect of HAMSCs was significantly inhibited by U0126, a highly selective inhibitor of extracellular signaling-regulated kinase 1/2 (ERK1/2) signaling. We demonstrate that HAMSCs promote osteogenic differentiation in HBMSCs by influencing the ERK1/2 signaling pathway. These observations confirm the potential of HAMSCs as a seed cell for the treatment of bone deficiency.

摘要

人羊膜间充质干细胞(HAMSCs)因其抗炎特性以及与其他干细胞来源相比使用时较少的伦理问题,被认为是组织工程领域的重要资源。HAMSCs可从人羊膜中获取,羊膜是一种容易获得且丰富的组织。然而,HAMSCs作为治疗骨缺损种子细胞的潜力尚不清楚。在本研究中,在Transwell共培养系统中,使用HAMSCs促进人骨髓间充质干细胞(HBMSCs)的增殖和成骨分化。通过流式细胞术和5-乙炔基-2'-脱氧尿苷(EdU)免疫荧光染色研究增殖水平。在显色碱性磷酸酶(ALP)活性底物测定、茜素红S染色以及早期HBMSCs成骨标志物表达的RT-PCR分析中评估成骨分化和矿化情况。我们证明HAMSCs刺激碱性磷酸酶(ALP)活性增加、成骨标志物基因的mRNA表达以及矿化基质沉积。此外,U0126(一种细胞外信号调节激酶1/2(ERK1/2)信号的高度选择性抑制剂)显著抑制了HAMSCs的作用。我们证明HAMSCs通过影响ERK1/2信号通路促进HBMSCs的成骨分化。这些观察结果证实了HAMSCs作为治疗骨缺损种子细胞的潜力。

https://cdn.ncbi.nlm.nih.gov/pmc/blobs/ffd0/4677248/cd8e872dc2ea/SCI2016-4851081.001.jpg

文献AI研究员

20分钟写一篇综述,助力文献阅读效率提升50倍。

立即体验

用中文搜PubMed

大模型驱动的PubMed中文搜索引擎

马上搜索

文档翻译

学术文献翻译模型,支持多种主流文档格式。

立即体验