Suppr超能文献

Redo-EVAR After Surgical Repair in Ruptured Abdominal Aortic Aneurysm.

作者信息

Bozok Şahin, Ozan Karakişi Sedat, Ergene Şaban, Tufekçi Nebiye, Ilhan Gökhan, Karamustafa Hakan

机构信息

Department of Cardiovascular Surgery, Recep Tayyip Erdogan University Faculty of Medicine, Rize, Turkey.

出版信息

J Cardiovasc Thorac Res. 2015;7(4):175-7. doi: 10.15171/jcvtr.2015.38. Epub 2015 Dec 1.

Abstract

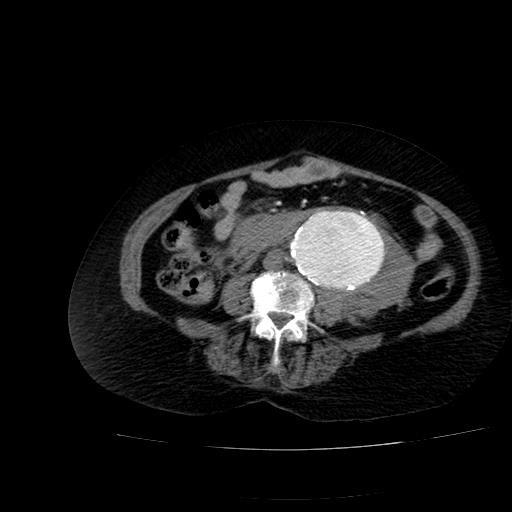
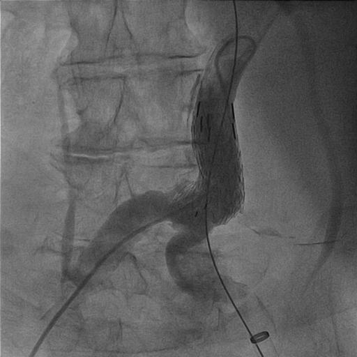
Endovascular aneurysm repair (EVAR) is an adequate means for treating infrarenal abdominal aortic aneurysms (AAA). However, secondary interventions are required in approximately 15% to 20% of patients. The aim of this paper was to report our knowledge with stent grafts in secondary interventions after EVAR in a 73-year-old patient. One of the exceptional complications of EVAR are endoleaks which may lead to expansion of aneurysm and rupture if not repaired.

摘要
https://cdn.ncbi.nlm.nih.gov/pmc/blobs/738a/4685286/9de57bb2d1cc/JCVTR-7-175-g001.jpg

文献AI研究员

20分钟写一篇综述,助力文献阅读效率提升50倍。

立即体验

用中文搜PubMed

大模型驱动的PubMed中文搜索引擎

马上搜索

文档翻译

学术文献翻译模型,支持多种主流文档格式。

立即体验