Suppr超能文献

唾液蛋白酶3在龋齿中的作用。

Role of saliva proteinase 3 in dental caries.

作者信息

Yang Teng-Yu, Zhou Wen-Jie, Du Yue, Wu Song-Tao, Yuan Wen-Wen, Yu Yu, Su Lin, Luo Yang, Zhang Jie-Hua, Lu Wan-Lu, Wang Xiao-Qian, Chen Jiao, Feng Yun, Zhou Xue-Dong, Zhang Ping

出版信息

Int J Oral Sci. 2015 Sep;7(3):174-8. doi: 10.1038/ijos.2015.8.

Abstract

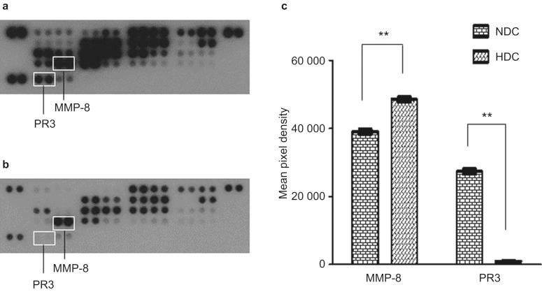
Salivary analysis can be used to assess the severity of caries. Of the known salivary proteins, a paucity of information exists concerning the role of proteinase 3 (PR3), a serine protease of the chymotrypsin family, in dental caries. Whole, unstimulated saliva was collected from children with varying degrees of active caries and tested using a Human Protease Array Kit and an enzyme-linked immunosorbent assay. A significantly decreased concentration of salivary PR3 was noted with increasing severity of dental caries (P<0.01); a positive correlation (r=0.87; P<0.01; Pearson's correlation analysis) was also observed between salivary pH and PR3 concentration. In an antibacterial test, a PR3 concentration of 250 ng·mL⁻¹ or higher significantly inhibited Streptococcus mutans UA159 growth after 12 h of incubation (P<0.05). These studies indicate that PR3 is a salivary factor associated with the severity of dental caries, as suggested by the negative relationship between salivary PR3 concentration and the severity of caries as well as the susceptibility of S. mutans to PR3.

摘要

唾液分析可用于评估龋齿的严重程度。在已知的唾液蛋白中,关于蛋白酶3(PR3)(一种胰凝乳蛋白酶家族的丝氨酸蛋白酶)在龋齿中的作用,现有信息较少。从患有不同程度活动性龋齿的儿童中收集未刺激的全唾液,并使用人蛋白酶阵列试剂盒和酶联免疫吸附测定法进行检测。随着龋齿严重程度的增加,唾液PR3浓度显著降低(P<0.01);唾液pH值与PR3浓度之间也观察到正相关(r=0.87;P<0.01;Pearson相关分析)。在抗菌试验中,孵育12小时后,250 ng·mL⁻¹或更高的PR3浓度显著抑制变形链球菌UA159的生长(P<0.05)。这些研究表明,PR3是一种与龋齿严重程度相关的唾液因子,这一点从唾液PR3浓度与龋齿严重程度之间的负相关以及变形链球菌对PR3的敏感性中可以看出。

https://cdn.ncbi.nlm.nih.gov/pmc/blobs/436e/4582561/310d8a211107/ijos20158f1.jpg

文献AI研究员

20分钟写一篇综述,助力文献阅读效率提升50倍。

立即体验

用中文搜PubMed

大模型驱动的PubMed中文搜索引擎

马上搜索

文档翻译

学术文献翻译模型,支持多种主流文档格式。

立即体验