Suppr超能文献

二维斑点追踪超声心动图评估左心房功能的方法学差距

Methodological Gaps in Left Atrial Function Assessment by 2D Speckle Tracking Echocardiography.

作者信息

Rimbaş Roxana Cristina, Dulgheru Raluca Elena, Vinereanu Dragoş

机构信息

University and Emergency Hospital, Bucharest, Romania.

University of Medicine and Pharmacy Carol Davila, Bucharest, Romania.

出版信息

Arq Bras Cardiol. 2015 Dec;105(6):625-36. doi: 10.5935/abc.20150144.

Abstract

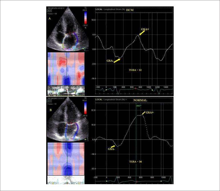
The assessment of left atrial (LA) function is used in various cardiovascular diseases. LA plays a complementary role in cardiac performance by modulating left ventricular (LV) function. Transthoracic two-dimensional (2D) phasic volumes and Doppler echocardiography can measure LA function non‑invasively. However, evaluation of LA deformation derived from 2D speckle tracking echocardiography (STE) is a new feasible and promising approach for assessment of LA mechanics. These parameters are able to detect subclinical LA dysfunction in different pathological condition. Normal ranges for LA deformation and cut-off values to diagnose LA dysfunction with different diseases have been reported, but data are still conflicting, probably because of some methodological and technical issues. This review highlights the importance of an unique standardized technique to assess the LA phasic functions by STE, and discusses recent studies on the most important clinical applications of this technique.

摘要

左心房(LA)功能评估应用于多种心血管疾病。LA通过调节左心室(LV)功能在心脏功能中发挥补充作用。经胸二维(2D)相位容积和多普勒超声心动图可无创测量LA功能。然而,基于二维斑点追踪超声心动图(STE)评估LA变形是一种评估LA力学的新的可行且有前景的方法。这些参数能够在不同病理状态下检测亚临床LA功能障碍。已有关于LA变形的正常范围以及诊断不同疾病LA功能障碍的临界值的报道,但数据仍存在冲突,这可能是由于一些方法学和技术问题。本综述强调了采用独特标准化技术通过STE评估LA相位功能的重要性,并讨论了关于该技术最重要临床应用的近期研究。

https://cdn.ncbi.nlm.nih.gov/pmc/blobs/ee98/4693667/eea58c26abd9/abc-105-06-0625-g01.jpg

相似文献

1
Methodological Gaps in Left Atrial Function Assessment by 2D Speckle Tracking Echocardiography.
Arq Bras Cardiol. 2015 Dec;105(6):625-36. doi: 10.5935/abc.20150144.
8
Clinical implications of left atrial function assessed by speckle tracking echocardiography.
J Echocardiogr. 2016 Sep;14(3):104-12. doi: 10.1007/s12574-016-0283-7. Epub 2016 Mar 7.

引用本文的文献

1
Early Echocardiographic Predictors for Atrial Fibrillation Propensity: The Left Atrium Oracle.
Rev Cardiovasc Med. 2022 May 31;23(6):205. doi: 10.31083/j.rcm2306205. eCollection 2022 Jun.
6
Left atrial deformation analysis as a predictor of severity of coronary artery disease.
Egypt Heart J. 2018 Dec;70(4):353-359. doi: 10.1016/j.ehj.2018.09.004. Epub 2018 Oct 24.
8
Left atrial longitudinal strain in dilated cardiomyopathy patients: is there a discrimination threshold for atrial fibrillation?
Int J Cardiovasc Imaging. 2019 Feb;35(2):319-325. doi: 10.1007/s10554-018-1466-2. Epub 2018 Oct 19.

本文引用的文献

1
Sources of variation in assessing left atrial functions by 2D speckle-tracking echocardiography.
Heart Vessels. 2016 Mar;31(3):370-81. doi: 10.1007/s00380-014-0602-8. Epub 2014 Nov 12.
4
7
Left atrial functional remodeling in lone atrial fibrillation: a two-dimensional speckle tracking echocardiographic study.
Echocardiography. 2013 Oct;30(9):1051-60. doi: 10.1111/echo.12200. Epub 2013 Apr 5.
10
Left atrial strain is reduced in patients with atrial fibrillation, stroke or TIA, and low risk CHADS(2) scores.
J Am Soc Echocardiogr. 2012 Dec;25(12):1327-32. doi: 10.1016/j.echo.2012.09.004. Epub 2012 Oct 12.

文献AI研究员

20分钟写一篇综述,助力文献阅读效率提升50倍。

立即体验

用中文搜PubMed

大模型驱动的PubMed中文搜索引擎

马上搜索

文档翻译

学术文献翻译模型,支持多种主流文档格式。

立即体验