Vora Siddharth R, Camci Esra D, Cox Timothy C
Departments of Oral Health Sciences, University of WashingtonSeattle, WA, USA; Orthodontics, University of WashingtonSeattle, WA, USA; Center for Developmental Biology and Regenerative Medicine, Seattle Children's Research InstituteSeattle, WA, USA.
Departments of Oral Health Sciences, University of WashingtonSeattle, WA, USA; Center for Developmental Biology and Regenerative Medicine, Seattle Children's Research InstituteSeattle, WA, USA.
Front Physiol. 2016 Jan 12;6:417. doi: 10.3389/fphys.2015.00417. eCollection 2015.
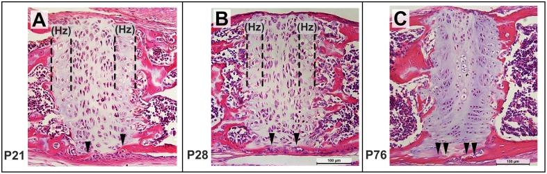
Growth of the craniofacial skeleton is a complex process controlled by both genetic and epigenetic factors, perturbations of which can lead to varying degrees of dysmorphology. Mouse models that recapitulate clinical craniofacial phenotypes are instrumental in studying the morphogenetic progression of diseases as well as uncovering their genetic and molecular bases. Commonly encountered phenotypes in these models include defects in the cranial base synchondroses, calvarial sutures, mandible or the midface, or any combination thereof, with the concurrent presence of altered overall craniofacial growth. However, the literature lacks an adequate normative timeline of developmental events and growth trends that shape the mouse craniofacial skeleton. In this report, we analyzed the postnatal craniofacial ontogeny (from postnatal day 7 [P7] through to P112) of male mice from the most widely used inbred mouse strain, C57BL/6J, using high-resolution microcomputed tomography (μCT) in combination with classic morphometric approaches. We also evaluated cranial base synchondroses at the histological level, and compared it to μCT-generated data to assess the timing and pattern of closure of these structures. Our data underscore the complex and unique growth patterns of individual bones and cranial regions and highlight the need to include younger animals in studies aimed at analyzing craniofacial growth processes. Furthermore, these data serve as a reference standard for future quantitative work.
颅面骨骼的生长是一个由遗传和表观遗传因素共同控制的复杂过程,这些因素的扰动会导致不同程度的畸形。能够重现临床颅面表型的小鼠模型有助于研究疾病的形态发生过程以及揭示其遗传和分子基础。这些模型中常见的表型包括颅底软骨结合、颅骨缝、下颌骨或中面部的缺陷,或它们的任何组合,并伴有整体颅面生长的改变。然而,文献中缺乏一个足够的规范性时间线来描述塑造小鼠颅面骨骼的发育事件和生长趋势。在本报告中,我们使用高分辨率微计算机断层扫描(μCT)结合经典形态测量方法,分析了最常用的近交系小鼠品系C57BL/6J雄性小鼠出生后的颅面个体发育(从出生后第7天[P7]到P112)。我们还在组织学水平评估了颅底软骨结合,并将其与μCT生成的数据进行比较,以评估这些结构闭合的时间和模式。我们的数据强调了单个骨骼和颅部区域复杂而独特的生长模式,并突出了在旨在分析颅面生长过程的研究中纳入幼年动物的必要性。此外,这些数据为未来的定量研究提供了参考标准。