Suppr超能文献

血小板源性生长因子受体是细胞外囊泡的一个组成部分,可对细胞来源的外泌体蛋白进行重编程,并调节淋巴管的形成。

Podoplanin is a component of extracellular vesicles that reprograms cell-derived exosomal proteins and modulates lymphatic vessel formation.

作者信息

Carrasco-Ramírez Patricia, Greening David W, Andrés Germán, Gopal Shashi K, Martín-Villar Ester, Renart Jaime, Simpson Richard J, Quintanilla Miguel

机构信息

Instituto de Investigaciones Biomédicas Alberto Sols, Consejo Superior de Investigaciones Científicas (CSIC) - Universidad Autónoma de Madrid (UAM), Madrid, Spain.

Department of Biochemistry and Genetics, La Trobe Institute for Molecular Science, La Trobe University, Melbourne, Victoria, Australia.

出版信息

Oncotarget. 2016 Mar 29;7(13):16070-89. doi: 10.18632/oncotarget.7445.

Abstract

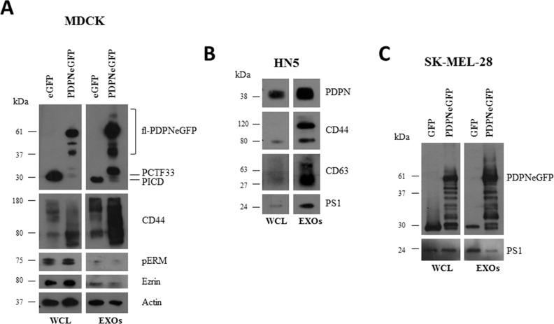
Podoplanin (PDPN) is a transmembrane glycoprotein that plays crucial roles in embryonic development, the immune response, and malignant progression. Here, we report that cells ectopically or endogenously expressing PDPN release extracellular vesicles (EVs) that contain PDPN mRNA and protein. PDPN incorporates into membrane shed microvesicles (MVs) and endosomal-derived exosomes (EXOs), where it was found to colocalize with the canonical EV marker CD63 by immunoelectron microscopy. We have previously found that expression of PDPN in MDCK cells induces an epithelial-mesenchymal transition (EMT). Proteomic profiling of MDCK-PDPN cells compared to control cells shows that PDPN-induced EMT is associated with upregulation of oncogenic proteins and diminished expression of tumor suppressors. Proteomic analysis of exosomes reveals that MDCK-PDPN EXOs were enriched in protein cargos involved in cell adhesion, cytoskeletal remodeling, signal transduction and, importantly, intracellular trafficking and EV biogenesis. Indeed, expression of PDPN in MDCK cells stimulated both EXO and MV production, while knockdown of endogenous PDPN in human HN5 squamous carcinoma cells reduced EXO production and inhibited tumorigenesis. EXOs released from MDCK-PDPN and control cells both stimulated in vitro angiogenesis, but only EXOs containing PDPN were shown to promote lymphatic vessel formation. This effect was mediated by PDPN on the surface of EXOs, as demonstrated by a neutralizing specific monoclonal antibody. These results contribute to our understanding of PDPN-induced EMT in association to tumor progression, and suggest an important role for PDPN in EV biogenesis and/or release and for PDPN-EXOs in modulating lymphangiogenesis.

摘要

血小板源性生长因子受体结合蛋白(PDPN)是一种跨膜糖蛋白,在胚胎发育、免疫反应和恶性进展中发挥着关键作用。在此,我们报告异位或内源性表达PDPN的细胞会释放含有PDPN mRNA和蛋白质的细胞外囊泡(EVs)。PDPN整合到膜脱落微囊泡(MVs)和内体来源的外泌体(EXOs)中,通过免疫电子显微镜发现它与经典的EV标志物CD63共定位。我们之前发现,PDPN在MDCK细胞中的表达会诱导上皮-间质转化(EMT)。与对照细胞相比,对MDCK-PDPN细胞进行蛋白质组学分析表明,PDPN诱导的EMT与致癌蛋白的上调和肿瘤抑制因子表达的降低有关。对外泌体的蛋白质组学分析显示,MDCK-PDPN外泌体富含参与细胞黏附、细胞骨架重塑、信号转导的蛋白质货物,重要的是,还富含参与细胞内运输和EV生物发生的蛋白质货物。事实上,PDPN在MDCK细胞中的表达刺激了EXO和MV的产生,而在人HN5鳞状癌细胞中敲低内源性PDPN则减少了EXO的产生并抑制了肿瘤发生。从MDCK-PDPN和对照细胞释放的EXO都能刺激体外血管生成,但只有含有PDPN的EXO被证明能促进淋巴管形成。一种中和性特异性单克隆抗体证明,这种作用是由EXO表面的PDPN介导的。这些结果有助于我们理解PDPN诱导的EMT与肿瘤进展的关系,并表明PDPN在EV生物发生和/或释放中以及PDPN-EXO在调节淋巴管生成中起着重要作用。

https://cdn.ncbi.nlm.nih.gov/pmc/blobs/2056/4941298/e503d5198123/oncotarget-07-16070-g001.jpg

文献AI研究员

20分钟写一篇综述,助力文献阅读效率提升50倍。

立即体验

用中文搜PubMed

大模型驱动的PubMed中文搜索引擎

马上搜索

文档翻译

学术文献翻译模型,支持多种主流文档格式。

立即体验