Suppr超能文献

先天性髌骨脱位——临床病例

Congenital dislocation of the patella - clinical case.

作者信息

Miguel Sá Pedro, Raposo Filipa, Santos Carvalho Manuel, Alegrete Nuno, Coutinho Jorge, Costa Gilberto

机构信息

Unidade Local de Saúde Alto Minho, Viana do Castelo, Portugal.

Centro Hospitalar São João, Porto, Portugal.

出版信息

Rev Bras Ortop. 2015 Dec 30;51(1):109-12. doi: 10.1016/j.rboe.2015.12.010. eCollection 2016 Jan-Feb.

Abstract

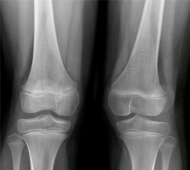
Congenital patellar dislocation is a rare condition in which the patella is permanently dislocated and cannot be reduced manually. The patella develops normally as a sesamoid bone of the femur. This congenital dislocation results from failure of the internal rotation of the myotome that forms the femur, quadriceps muscle and extensor apparatus. It usually manifests immediately after birth, although in some rare cases, the diagnosis may be delayed until adolescence or adulthood. Early diagnosis is important, thereby allowing surgical correction and avoiding late sequelae, including early degenerative changes in the knee. A case of permanent dislocation of the patella is presented here, in a female child aged seven years.

摘要

先天性髌骨脱位是一种罕见的病症,即髌骨永久性脱位且无法手法复位。髌骨作为股骨的籽骨正常发育。这种先天性脱位是由于形成股骨、股四头肌和伸肌装置的肌节内旋失败所致。它通常在出生后立即出现,不过在一些罕见病例中,诊断可能会延迟至青春期或成年期。早期诊断很重要,这样才能进行手术矫正并避免晚期后遗症,包括膝关节的早期退行性改变。本文介绍了一例七岁女童永久性髌骨脱位的病例。

https://cdn.ncbi.nlm.nih.gov/pmc/blobs/569d/4767839/bb0f2345fab9/gr1.jpg

文献AI研究员

20分钟写一篇综述,助力文献阅读效率提升50倍。

立即体验

用中文搜PubMed

大模型驱动的PubMed中文搜索引擎

马上搜索

文档翻译

学术文献翻译模型,支持多种主流文档格式。

立即体验