Suppr超能文献

结肠镜检查后脾破裂:病例报告及文献综述

Splenic rupture following colonoscopy: Case report and literature review.

作者信息

Zappa Marco Antonio, Aiolfi Alberto, Antonini Ilaria, Musolino Cinzia Domenica, Porta Andrea

机构信息

University of Milan, Department of general and emergency surgery, Ospedale S. Famiglia Fatebenefratelli-Erba, Italy.

University of Milan, Department of general and emergency surgery, Ospedale S. Famiglia Fatebenefratelli-Erba, Italy.

出版信息

Int J Surg Case Rep. 2016;21:118-20. doi: 10.1016/j.ijscr.2016.02.038. Epub 2016 Mar 4.

Abstract

INTRODUCTION

Colonoscopy is a safe and routinely performed diagnostic and therapeutic procedure for colorectal diseases. Although bleeding and perforation are most common complications, extra colonic or visceral injuries have been described. Splenic rupture is rare with few cases reported in current literature.

PRESENTATION OF CASE

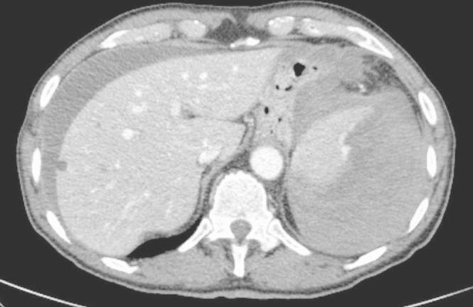
We report the case of a 73-year old man who presented to surgical consultation 50h after colonoscopy. Clinical, laboratory and imaging findings were suggestive for haemoperitoneum. At surgery an almost complete splenic disruption was evident and urgent splenectomy was performed.

DISCUSSION

Splenic injury following colonoscopy is exceptional, probably related to instrumental looping with excessive traction on the splenocolic ligament. In patients with an early presentation a sudden onset of symptoms is the rule. By contrast a delayed presentation (>48h) is nonspecific and subtle with arduous diagnosis.

CONCLUSION

Awareness of this potential complication, high level of suspicion and prompt treatment are at the basis of better outcomes in such patients.

摘要

引言

结肠镜检查是一种用于结直肠疾病的安全且常规进行的诊断和治疗程序。尽管出血和穿孔是最常见的并发症,但也有结肠外或内脏损伤的报道。脾破裂罕见,目前文献中报道的病例很少。

病例介绍

我们报告一例73岁男性患者,在结肠镜检查后50小时前来外科会诊。临床、实验室和影像学检查结果提示存在腹腔积血。手术中可见脾脏几乎完全破裂,遂紧急行脾切除术。

讨论

结肠镜检查后发生脾损伤极为罕见,可能与器械成袢并过度牵拉脾结肠韧带有关。早期就诊的患者通常症状突发。相比之下,延迟就诊(>48小时)则症状不具特异性且隐匿,诊断困难。

结论

认识到这种潜在并发症、保持高度怀疑并及时治疗是此类患者获得更好预后的基础。

https://cdn.ncbi.nlm.nih.gov/pmc/blobs/ba9e/4802200/a21652ed62c5/gr1.jpg

文献AI研究员

20分钟写一篇综述,助力文献阅读效率提升50倍。

立即体验

用中文搜PubMed

大模型驱动的PubMed中文搜索引擎

马上搜索

文档翻译

学术文献翻译模型,支持多种主流文档格式。

立即体验