Suppr超能文献

未成熟骨骼舟状骨假关节

PSEUDARTHROSIS OF THE SCAPHOID IN IMMATURE SKELETONS.

作者信息

de Lemos Marcelo Barreto, Bentes Ádria Simone Ferreira, Neto Miguel Flores do Amaral, Spinelli Leandro de Freitas, Severo Antônio Lourenço, Lech Osvandré

机构信息

Instructor Physician for Medical Residence and the Hand Surgery Service, Institute of Orthopedics and Traumatology, Passo Fundo, RS, Brazil.

Fellow in Hand Surgery, Institute of Orthopedics and Traumatology, Passo Fundo, RS, Brazil.

出版信息

Rev Bras Ortop. 2015 Dec 6;47(3):292-6. doi: 10.1016/S2255-4971(15)30101-4. eCollection 2012 May-Jun.

Abstract

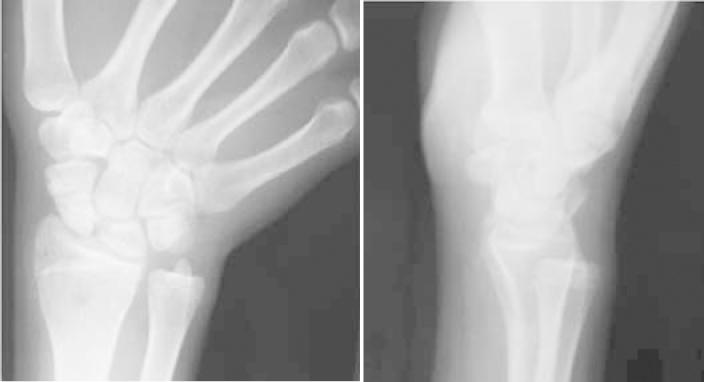
This paper presents a review of the literature on pseudarthrosis of the scaphoid in skeletally immature individuals, taking into consideration its epidemiology, diagnosis and treatment, as well as its controversies. Knowledge of this subject makes it possible for patients to be given appropriate treatment immediately. Pseudarthrosis of the scaphoid in skeletally immature patients is a rare condition that results from error or lack of diagnosis of a fracture. Thus, careful clinical and radiographic examination should be performed in order to confirm or rule out this diagnosis. Several treatment methods have been reported and have shown good results. These include conservative plaster cast treatment, bone graft without osteosynthesis, bone graft with Kirschner wires, percutaneous screws and bone graft with compression screws. The treatment performed depends on the characteristics of the pseudarthrosis and the surgeon's experience.

摘要

本文对骨骼未成熟个体舟骨假关节的文献进行了综述,考虑了其流行病学、诊断与治疗以及相关争议。了解该主题有助于立即为患者提供适当的治疗。骨骼未成熟患者的舟骨假关节是一种罕见病症,由骨折诊断错误或漏诊所致。因此,应进行仔细的临床和影像学检查以确诊或排除该诊断。已报道了多种治疗方法且效果良好。这些方法包括保守石膏固定治疗、无骨固定的骨移植、克氏针辅助骨移植、经皮螺钉固定以及加压螺钉辅助骨移植。所采用的治疗方法取决于假关节的特点和外科医生的经验。

https://cdn.ncbi.nlm.nih.gov/pmc/blobs/6a19/4799405/e7b37e13718f/gr2.jpg

文献AI研究员

20分钟写一篇综述,助力文献阅读效率提升50倍。

立即体验

用中文搜PubMed

大模型驱动的PubMed中文搜索引擎

马上搜索

文档翻译

学术文献翻译模型,支持多种主流文档格式。

立即体验