Suppr超能文献

运动员膝关节外侧疼痛:一例罕见的股二头肌腱脱位病例

LATERAL PAIN IN AN ATHLETE'S KNEE: A RARE CASE OF DISLOCATION OF THE FEMORAL BICEPS TENDON.

作者信息

Duarte Aires, Severino Nilson, da Silva Ana Paula Simões, de Lima Marcos Vaz, Resende Vanessa Ribeiro, Kertzman Paulo F

机构信息

Head Physician, Sports Trauma Group, Santa Casa de São Paulo - São Paulo, SP, Brazil.

Doctor's degree and Master's degree, Department of Orthopedics and Traumatology, School of Medical Sciences, Santa Casa de Misericórdia de São Paulo; Head Physician, Knee Group, Santa Casa de São Paulo - São Paulo, SP, Brazil.

出版信息

Rev Bras Ortop. 2015 Nov 4;47(6):784-7. doi: 10.1016/S2255-4971(15)30040-9. eCollection 2012.

Abstract

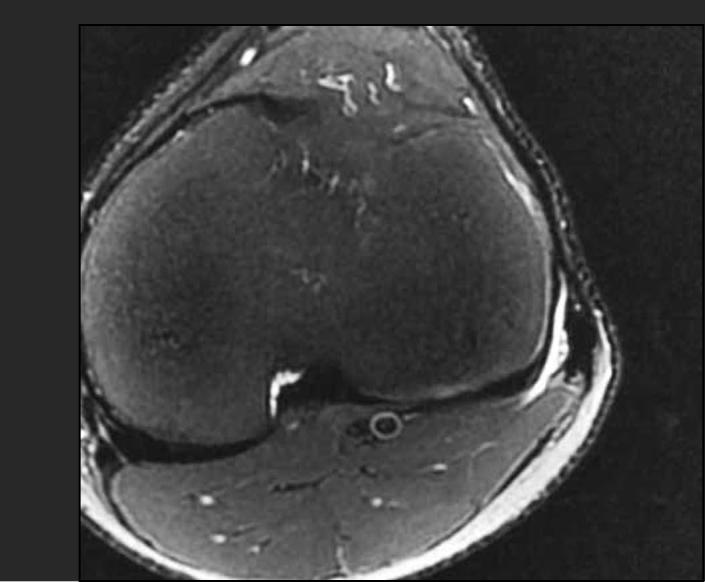
Dislocation of the femoral biceps tendon is rare and is described clinically in the literature as a lateral pain in the knee. It was initially reported as an anomalous insertion of the long head of the femoral biceps. Subsequently, it was found to be caused by abnormal mobility of the tendon over the prominence of the fibular head at certain angles of knee flexion. The objective of the present report was to describe and discuss a condition of lateral knee pain in a swimmer who started to present subluxation of the femoral biceps during sports practice, which incapacitated him from taking part in trials and competitions. The case is discussed in the light of the literature surveyed; the likelihood that the etiology for the trauma leading to this condition was repetition; and the surgical treatment instituted, which led to excellent results and the patient's return to his habitual sports practice.

摘要

股二头肌肌腱脱位较为罕见,在文献中临床描述为膝关节外侧疼痛。最初它被报道为股二头肌长头的异常附着。随后发现,它是由肌腱在膝关节屈曲一定角度时在腓骨头突出处的异常活动引起的。本报告的目的是描述和讨论一名游泳运动员膝关节外侧疼痛的情况,该运动员在体育训练中开始出现股二头肌半脱位,这使他无法参加选拔赛和比赛。结合所查阅的文献对该病例进行了讨论;导致这种情况的创伤病因很可能是重复性损伤;以及所采取的手术治疗,该治疗取得了优异的效果,患者恢复了其惯常的体育训练。

https://cdn.ncbi.nlm.nih.gov/pmc/blobs/e4ae/4799475/0ba07a703048/gr1.jpg

文献AI研究员

20分钟写一篇综述,助力文献阅读效率提升50倍。

立即体验

用中文搜PubMed

大模型驱动的PubMed中文搜索引擎

马上搜索

文档翻译

学术文献翻译模型,支持多种主流文档格式。

立即体验