Suppr超能文献

特异性蛋白-1和激活蛋白-2转录因子在大鼠附睾缝隙连接蛋白β-2基因调控中的作用

Role of Specificity Protein-1 and Activating Protein-2 Transcription Factors in the Regulation of the Gap Junction Protein Beta-2 Gene in the Epididymis of the Rat.

作者信息

Adam Cécile, Cyr Daniel G

机构信息

Laboratory for Reproductive Toxicology, INRS-Institut Armand-Frappier, Université du Québec, Laval, Québec, Canada.

Laboratory for Reproductive Toxicology, INRS-Institut Armand-Frappier, Université du Québec, Laval, Québec, Canada

出版信息

Biol Reprod. 2016 Jun;94(6):120. doi: 10.1095/biolreprod.115.133702. Epub 2016 Apr 6.

Abstract

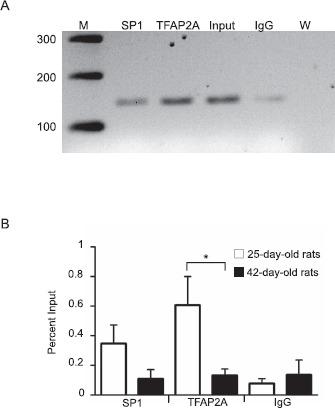
In prepubertal rats, connexin 26 (GJB2) is expressed between adjacent columnar cells of the epididymis. At 28 days of age, when columnar cells differentiate into adult epithelial cell types, Gjb2 mRNA levels decrease to barely detectable levels. There is no information on the regulation of GJB2 in the epididymis. The present study characterized regulation of the Gjb2 gene promoter in the epididymis. A single transcription start site at position -3829 bp relative to the ATG was identified. Computational analysis revealed several TFAP2A, SP1, and KLF4 putative binding sites. A 1.5-kb fragment of the Gjb2 promoter was cloned into a vector containing a luciferase reporter gene. Transfection of the construct into immortalized rat caput epididymal (RCE-1) cells indicated that the promoter contained sufficient information to drive expression of the reporter gene. Deletion constructs showed that the basal activity of the promoter resides in the first -230 bp of the transcriptional start site. Two response elements necessary for GJB2 expression were identified: an overlapping TFAP2A/SP1 site (-136 to -126 bp) and an SP1 site (-50 bp). Chromatin immunoprecipitation (ChIP) and electrophoretic mobility shift assays confirmed that SP1 and TFAP2A were bound to the promoter. ChIP analysis of chromatin from young and pubertal rats indicated that TFAP2A and SP1 binding decreased with age. SP1 and TFAP2A knockdown indicated that SP1 is necessary for Gjb2 expression. DNA methylation did not appear to be involved in the regulation of Gjb2 expression. Results indicate that SP1 and TFAP2A regulate Gjb2 promoter activity during epididymal differentiation in rat.

摘要

在青春期前的大鼠中,连接蛋白26(GJB2)在附睾相邻柱状细胞之间表达。在28日龄时,当柱状细胞分化为成年上皮细胞类型时,Gjb2 mRNA水平降至几乎检测不到的水平。目前尚无关于附睾中GJB2调控的信息。本研究对附睾中Gjb2基因启动子的调控进行了表征。确定了相对于ATG在-3829 bp位置的单个转录起始位点。计算分析揭示了几个TFAP2A、SP1和KLF4推定结合位点。将Gjb2启动子的1.5 kb片段克隆到含有荧光素酶报告基因的载体中。将构建体转染到永生化大鼠附睾头(RCE-1)细胞中表明,该启动子包含驱动报告基因表达的足够信息。缺失构建体表明,启动子的基础活性位于转录起始位点的前-230 bp。鉴定出GJB2表达所需的两个反应元件:一个重叠的TFAP2A/SP1位点(-136至-126 bp)和一个SP1位点(-50 bp)。染色质免疫沉淀(ChIP)和电泳迁移率变动分析证实SP1和TFAP2A与启动子结合。对幼年和青春期大鼠染色质的ChIP分析表明,TFAP2A和SP1的结合随年龄而降低。SP1和TFAP2A敲低表明SP1是Gjb2表达所必需的。DNA甲基化似乎不参与Gjb2表达的调控。结果表明,SP1和TFAP2A在大鼠附睾分化过程中调节Gjb2启动子活性。

https://cdn.ncbi.nlm.nih.gov/pmc/blobs/60b7/6702783/e815ad889666/biolreprod-94-6-0120-fig-001.jpg

文献AI研究员

20分钟写一篇综述,助力文献阅读效率提升50倍。

立即体验

用中文搜PubMed

大模型驱动的PubMed中文搜索引擎

马上搜索

文档翻译

学术文献翻译模型,支持多种主流文档格式。

立即体验