Lee Kija, Choi Sooyoung, Choi Hojung, Lee Youngwon
College of Veterinary Medicine, Kyungpook National University, Daegu 41566, Korea.
J Vet Med Sci. 2016 Sep 1;78(8):1351-4. doi: 10.1292/jvms.15-0622. Epub 2016 Apr 28.
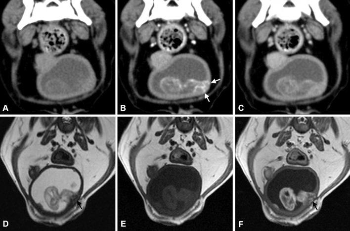
This study described high-field magnetic resonance imaging (MRI) and computed tomography (CT) characteristics of muscle-invasive bladder transitional cell carcinoma (TCC) in two dogs. Ultrasonography revealed a urinary bladder mass with ambiguous result about invasion to the muscular layer. Contrast-enhanced CT showed that the bladder wall in which the mass was attached was more intensely enhanced than the normal bladder walls, supporting invasion to the muscular layer. The mass revealed an intermediate signal intensity with interruption of the hypointense muscular layer on T2-weighted MRI and showed greater enhancement compared with the normal bladder wall on postcontrast T1-weighted images. T2-weighted MRI, postcontrast T1-weighted MRI and contrast-enhanced dual-phasic CT were useful for evaluating muscle-invasive bladder TCC in dogs.
本研究描述了两只犬肌肉浸润性膀胱移行细胞癌(TCC)的高场磁共振成像(MRI)和计算机断层扫描(CT)特征。超声检查发现膀胱有肿块,但关于肌层浸润的结果不明确。增强CT显示肿块附着处的膀胱壁强化程度高于正常膀胱壁,提示肌层浸润。在T2加权MRI上,肿块呈中等信号强度,低信号的肌层中断,在对比剂增强T1加权图像上,肿块的强化程度高于正常膀胱壁。T2加权MRI、对比剂增强T1加权MRI和双期增强CT对评估犬肌肉浸润性膀胱TCC很有用。