Suppr超能文献

杜氏利什曼原虫的一种类GCN2 eIF2α激酶(LdeK1)及其在应激反应中的可能作用

A GCN2-Like eIF2α Kinase (LdeK1) of Leishmania donovani and Its Possible Role in Stress Response.

作者信息

Rao Shilpa J, Meleppattu Shimi, Pal Jayanta K

机构信息

Cell and Molecular Biology Laboratory, Department of Biotechnology, Savitribai Phule Pune University, Ganeshkhind, Pune-411007, India.

Interdisciplinary School of Health Sciences, Savitribai Phule Pune University, Ganeshkhind, Pune-411007, India.

出版信息

PLoS One. 2016 Jun 1;11(6):e0156032. doi: 10.1371/journal.pone.0156032. eCollection 2016.

Abstract

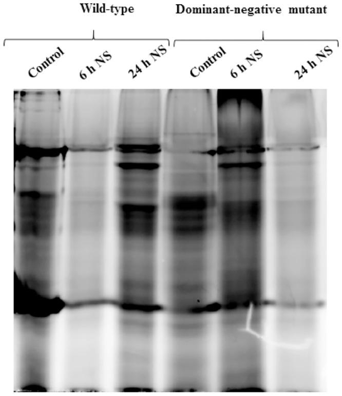
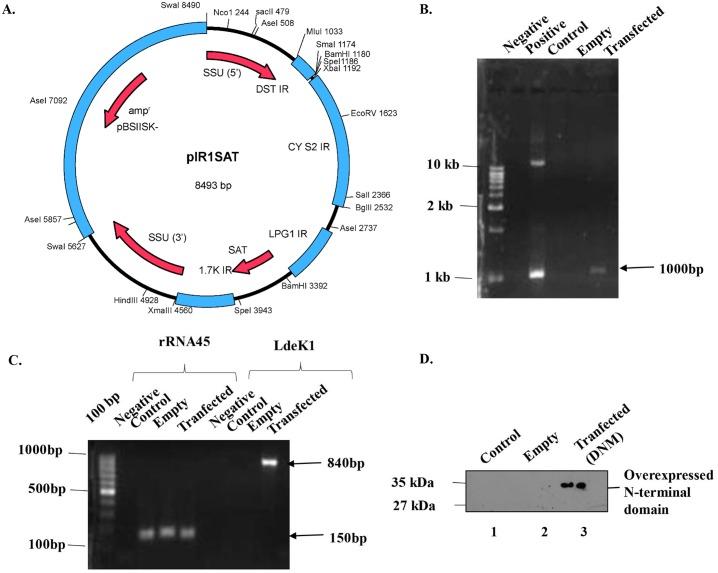
Translation regulation in Leishmania parasites assumes significance particularly because they encounter myriad of stresses during their life cycle. The eukaryotic initiation factor 2α (eIF2α) kinases, the well-known regulators of translation initiation in higher eukaryotes have now been found to control various processes in these protozoan parasites as well. Here, we report on cloning and characterization of a GCN2-like eIF2α kinase from L. donovani and also on its modulation during nutrient starvation. We cloned a GCN2-like kinase from L. donovani, which we named as LdeK1 and validated it to be a functional eIF2α kinase by in vitro kinase assay. LdeK1 was found to be localized in the cytoplasm of the promastigotes with a five-fold higher expression in this stage of the parasite as compared to the axenic amastigotes. Phosphorylation of eIF2α and a G1-arrest was observed in response to nutrient starvation in the wild-type parasites. In contrast, phosphorylation was significantly impaired in a dominant-negative mutant of LdeK1 during this stress with a subsequent failure to bring about a G1-arrest during cell cycle. Thus, LdeK1 is a functional GCN2-like kinase of L. donovani which responds to nutrient starvation by phosphorylating its substrate, eIF2α and a G1-arrest in the cell cycle. Nutrient starvation is encountered by the parasites inside the vector which triggers metacyclogenesis. We therefore propose that global translational regulation by activation of LdeK1 followed by eIF2α phosphorylation and G1-arrest during nutrient starvation in the gut of sandfly vector could be one of the mechanisms to retool the cellular machinery required for metacyclogenesis of Leishmania promastigotes.

摘要

利什曼原虫中的翻译调控具有重要意义,特别是因为它们在生命周期中会遇到无数压力。真核起始因子2α(eIF2α)激酶是高等真核生物中众所周知的翻译起始调节因子,现在发现它们也能控制这些原生动物寄生虫中的各种过程。在这里,我们报告了来自杜氏利什曼原虫的一种GCN2样eIF2α激酶的克隆和表征,以及其在营养饥饿期间的调节。我们从杜氏利什曼原虫中克隆了一种GCN2样激酶,将其命名为LdeK1,并通过体外激酶测定验证它是一种功能性eIF2α激酶。发现LdeK1定位于前鞭毛体的细胞质中,在寄生虫的这个阶段,其表达比无菌无鞭毛体高五倍。在野生型寄生虫中,响应营养饥饿观察到eIF2α的磷酸化和G1期阻滞。相比之下,在这种应激期间,LdeK1的显性负突变体中的磷酸化显著受损,随后在细胞周期中未能导致G1期阻滞。因此,LdeK1是杜氏利什曼原虫的一种功能性GCN2样激酶,它通过磷酸化其底物eIF2α并在细胞周期中导致G1期阻滞来响应营养饥饿。寄生虫在载体内部会遇到营养饥饿,这会触发循环前期发育。因此,我们提出,在白蛉载体肠道中营养饥饿期间,通过激活LdeK1随后进行eIF2α磷酸化和G1期阻滞来进行全局翻译调控,可能是重新调整利什曼原虫前鞭毛体循环前期发育所需细胞机制的一种机制。

https://cdn.ncbi.nlm.nih.gov/pmc/blobs/b7ab/4889150/555ce371d4bb/pone.0156032.g001.jpg

文献AI研究员

20分钟写一篇综述,助力文献阅读效率提升50倍。

立即体验

用中文搜PubMed

大模型驱动的PubMed中文搜索引擎

马上搜索

文档翻译

学术文献翻译模型,支持多种主流文档格式。

立即体验