Suppr超能文献

干细胞相关标志物表达在肺腺癌中的预后意义及其与组织学亚型的相关性

Prognostic significance of stem cell-related marker expression and its correlation with histologic subtypes in lung adenocarcinoma.

作者信息

Park Eunhyang, Park Soo Young, Sun Ping-Li, Jin Yan, Kim Ji Eun, Jheon Sanghoon, Kim Kwhanmien, Lee Choon Taek, Kim Hyojin, Chung Jin-Haeng

机构信息

Department of Pathology, Seoul National University Hospital, Seoul, Republic of Korea.

Department of Pathology, Seoul National University Bundang Hospital, Seongnam, Republic of Korea.

出版信息

Oncotarget. 2016 Jul 5;7(27):42502-42512. doi: 10.18632/oncotarget.9894.

Abstract

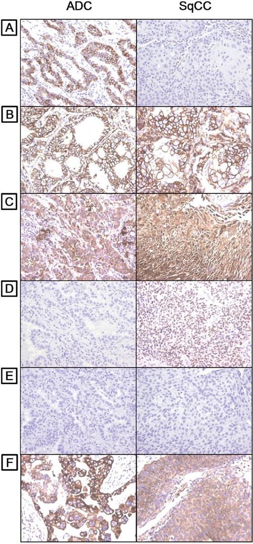
Cancer stem cells (CSCs) are a small subset of tumor cells that exhibit stem cell-like properties and contribute in treatment failure. To clarify the expression and prognostic significance of several CSC markers in non-small cell lung cancer, we retrospectively analyzed 368 patients with adenocarcinoma (n = 226) or squamous cell carcinoma (n = 142). We correlated the expression of six CSC markers - CD133, CD44, aldehyde dehydrogenase 1 (ALDH1), sex determining region Y-box 2 (SOX2), octamer binding transcription factor 4 (OCT4), and Nanog - with clinicopathologic and molecular variables and survival outcomes. In adenocarcinoma, CD133, ALDH1 and CD44 expression was associated with low pathologic stage and absence of lymphovascular invasion, while Nanog expression correlated with high histologic grade, lymphatic invasion and increased expression of Snail-1, a transcription factor associated with epithelial-mesenchymal transition. CSC marker expression was also associated with histologic subtypes in adenocarcinoma. Multivariate analysis showed that high Nanog expression was an independent factor associated with a poor prognosis in adenocarcinoma. CSC markers had no prognostic value in squamous cell carcinoma. These results suggest that Nanog is an independent negative prognostic factor that may be associated with epithelial-mesenchymal transition in lung adenocarcinoma.

摘要

癌症干细胞(CSCs)是肿瘤细胞中的一个小亚群,具有干细胞样特性,并导致治疗失败。为了阐明几种癌症干细胞标志物在非小细胞肺癌中的表达及预后意义,我们回顾性分析了368例腺癌(n = 226)或鳞状细胞癌(n = 142)患者。我们将六种癌症干细胞标志物——CD133、CD44、醛脱氢酶1(ALDH1)、性别决定区Y框蛋白2(SOX2)、八聚体结合转录因子4(OCT4)和Nanog——的表达与临床病理、分子变量及生存结果进行了关联分析。在腺癌中,CD133、ALDH1和CD44的表达与低病理分期及无淋巴管侵犯相关,而Nanog的表达与高组织学分级、淋巴侵犯以及与上皮-间质转化相关的转录因子Snail-1的表达增加相关。癌症干细胞标志物的表达在腺癌中也与组织学亚型相关。多变量分析显示,高Nanog表达是腺癌预后不良的一个独立相关因素。癌症干细胞标志物在鳞状细胞癌中无预后价值。这些结果表明,Nanog是一个独立的负面预后因素,可能与肺腺癌中的上皮-间质转化相关。

https://cdn.ncbi.nlm.nih.gov/pmc/blobs/918c/5173151/f614dae987d0/oncotarget-07-42502-g001.jpg

文献AI研究员

20分钟写一篇综述,助力文献阅读效率提升50倍。

立即体验

用中文搜PubMed

大模型驱动的PubMed中文搜索引擎

马上搜索

文档翻译

学术文献翻译模型,支持多种主流文档格式。

立即体验