Suppr超能文献

加拉帕戈斯海鬣蜥(海鬣蜥属)的血气、生物化学和血液学

Blood gases, biochemistry and haematology of Galápagos marine iguanas (Amblyrhynchus cristatus).

作者信息

Lewbart Gregory A, Hirschfeld Maximilian, Brothers J Roger, Muñoz-Pérez Juan Pablo, Denkinger Judith, Vinueza Luis, García Juan, Lohmann Kenneth J

机构信息

North Carolina State University, College of Veterinary Medicine, Raleigh, NC 27607, USA.

University San Francisco de Quito, Galápagos Science Center, Puerto Baquerizo Moreno, Galápagos, Ecuador.

出版信息

Conserv Physiol. 2015 Jul 24;3(1):cov034. doi: 10.1093/conphys/cov034. eCollection 2015.

Abstract

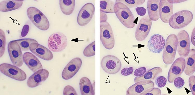
The marine iguana, Amblyrhynchus cristatus, is an iconic lizard endemic to the Galápagos Islands of Ecuador, but surprisingly little information exists on baseline health parameters for this species. We analysed blood samples drawn from 35 marine iguanas captured at three locations on San Cristóbal Island. A portable blood analyser (iSTAT) was used to obtain near-immediate field results for pH, lactate, partial pressure of O2, partial pressure of CO2, bicarbonate (HCO3 (-)), percentage O2 saturation, haematocrit, haemoglobin, sodium, potassium, ionized calcium and glucose. Parameter values affected by temperature were auto-corrected by the iSTAT. Standard laboratory haematology techniques were employed for differential white blood cell counts and haematocrit determination; resulting values were also compared with the haematocrit values generated by the iSTAT. Body temperature, heart rate, respiratory rate and body measurements were also recorded. Body length was positively correlated with several blood chemistry values (HCO3 (-) and glucose) and two haematology parameters (haemoglobin and manually determined haematocrit). A notable finding was the unusually high blood sodium level; the mean value of 178 mg/dl is among the highest known for any reptile. This value is likely to be a conservative estimate because some samples exceeded the maximal value the iSTAT can detect. For haematocrit determination, the iSTAT blood analyser yielded results significantly lower than those obtained with high-speed centrifugation. The values reported in this study provide baseline data that may be useful in comparisons among populations and in detecting changes in health status among marine iguanas affected by natural disturbances or anthropogenic threats. The findings might also be helpful in future efforts to demonstrate associations between specific biochemical parameters and disease.

摘要

海鬣蜥(学名:Amblyrhynchus cristatus)是厄瓜多尔加拉帕戈斯群岛特有的标志性蜥蜴,但令人惊讶的是,关于该物种的基础健康参数的信息却非常少。我们分析了从圣克里斯托瓦尔岛三个地点捕获的35只海鬣蜥的血液样本。使用便携式血液分析仪(iSTAT)几乎立即获得了关于pH值、乳酸、氧分压、二氧化碳分压、碳酸氢根(HCO3 (-))、氧饱和度百分比、血细胞比容、血红蛋白、钠、钾、离子钙和葡萄糖的现场检测结果。受温度影响的参数值由iSTAT自动校正。采用标准实验室血液学技术进行白细胞分类计数和血细胞比容测定;所得结果也与iSTAT生成的血细胞比容值进行了比较。还记录了体温、心率、呼吸频率和身体测量数据。体长与几个血液化学值(HCO3 (-)和葡萄糖)以及两个血液学参数(血红蛋白和手动测定的血细胞比容)呈正相关。一个显著的发现是血液钠水平异常高;178 mg/dl的平均值是已知所有爬行动物中最高的之一。这个值可能是一个保守估计,因为一些样本超过了iSTAT能够检测到的最大值。对于血细胞比容测定,iSTAT血液分析仪得出的结果明显低于高速离心法获得的结果。本研究报告的值提供了基线数据,这可能有助于比较不同种群,并检测受自然干扰或人为威胁影响的海鬣蜥健康状况的变化。这些发现也可能有助于未来证明特定生化参数与疾病之间关联的努力。

https://cdn.ncbi.nlm.nih.gov/pmc/blobs/d82f/4778492/49b0ac2d89cf/cov03401.jpg

文献AI研究员

20分钟写一篇综述,助力文献阅读效率提升50倍。

立即体验

用中文搜PubMed

大模型驱动的PubMed中文搜索引擎

马上搜索

文档翻译

学术文献翻译模型,支持多种主流文档格式。

立即体验