Suppr超能文献

Complete Traumatic Separation of Proximal Femoral Epiphysis in A 2 Year Old Child.

作者信息

Pal Chandra Prakash, Kumar Deepak, Singh Pulkesh, Gaurav Vishal

机构信息

Department of orthopaedics, S. N. Medical College, Agra, India.

Department of Orthopaedics, U.P R.I.M.S. & R, Saifai, Etawah, India.

出版信息

J Orthop Case Rep. 2014 Jul-Sep;4(3):29-31. doi: 10.13107/jocr.2250-0685.190.

Abstract

INTRODUCTION

Hip fractures are very common in adults, but are rare in children, comprising less than 1% of all pediatric fractures. Separation of the proximal femoral epiphysis can occur in a child with a traumatic hip dislocation and an open epiphysis. Regardless of the mechanism of proximal femoral epiphyseal separation, the prognosis is poor secondary to the development of osteonecrosis.

CASE REPORT

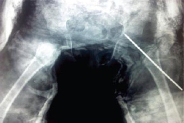
Here we are reporting a case of complete separation of the proximal epiphysis of the femur in a 2 year old female child. She was treated by open reduction and internal fixation by a single k-wire of proximal femoral epiphysis. Regular follow up showed fusion of proximal femoral epiphysis at about 3 months of post operative period. After 8 months of follow up she can stand and walk without support. Long term outcome is awaited.

CONCLUSION

Traumatic separation of the proximal femoral epiphysis is a rare but devastating injury because osteonecrosis occurs in most cases. In our study we found fusion of the proximal femoral epiphysis to the neck after 3 months of postoperative period. But to comment upon the final outcome a long follow up is awaited.

摘要
https://cdn.ncbi.nlm.nih.gov/pmc/blobs/cbb4/4719320/23e4f19110f2/JOCR-4-29-g001.jpg

文献AI研究员

20分钟写一篇综述,助力文献阅读效率提升50倍。

立即体验

用中文搜PubMed

大模型驱动的PubMed中文搜索引擎

马上搜索

文档翻译

学术文献翻译模型,支持多种主流文档格式。

立即体验