Suppr超能文献

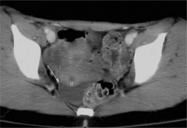
CT上的凹边征作为腹水的一种征象。

Concave Margin Sign on CT as an Indication of Ascites.

作者信息

Gay Spencer B, Sarti Marc, Amin Parag

出版信息

Radiol Case Rep. 2015 Nov 6;3(3):199. doi: 10.2484/rcr.v3i3.199. eCollection 2008.

Abstract

Ascites is found in a variety of conditions, both acute and chronic, and computed tomography (CT) is usually successful in detecting its presence. We reviewed the CT images from a three-month window of patients in order to evaluate the prevalence and utility of a new radiographic sign for diagnosing ascites.

摘要

腹水可见于多种急慢性病症,计算机断层扫描(CT)通常能成功检测出腹水的存在。我们回顾了患者三个月内的CT图像,以评估一种用于诊断腹水的新影像学征象的患病率和效用。

https://cdn.ncbi.nlm.nih.gov/pmc/blobs/2a66/4897022/a61cd2344bb9/gr1.jpg

文献AI研究员

20分钟写一篇综述,助力文献阅读效率提升50倍。

立即体验

用中文搜PubMed

大模型驱动的PubMed中文搜索引擎

马上搜索

文档翻译

学术文献翻译模型,支持多种主流文档格式。

立即体验