Institute of Clinical Medicine, National Yang-Ming University, Taipei 112, Taiwan.
Institute of Emergency and Critical Care Medicine, School of Medicine, National Yang-Ming University, Taipei 112, Taiwan.
Nat Commun. 2016 Jun 16;7:11798. doi: 10.1038/ncomms11798.
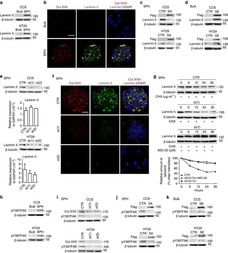
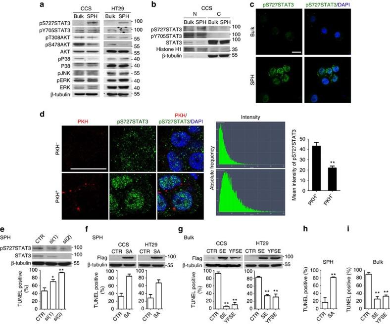
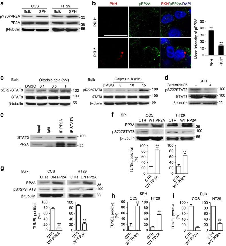
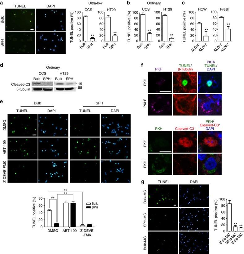
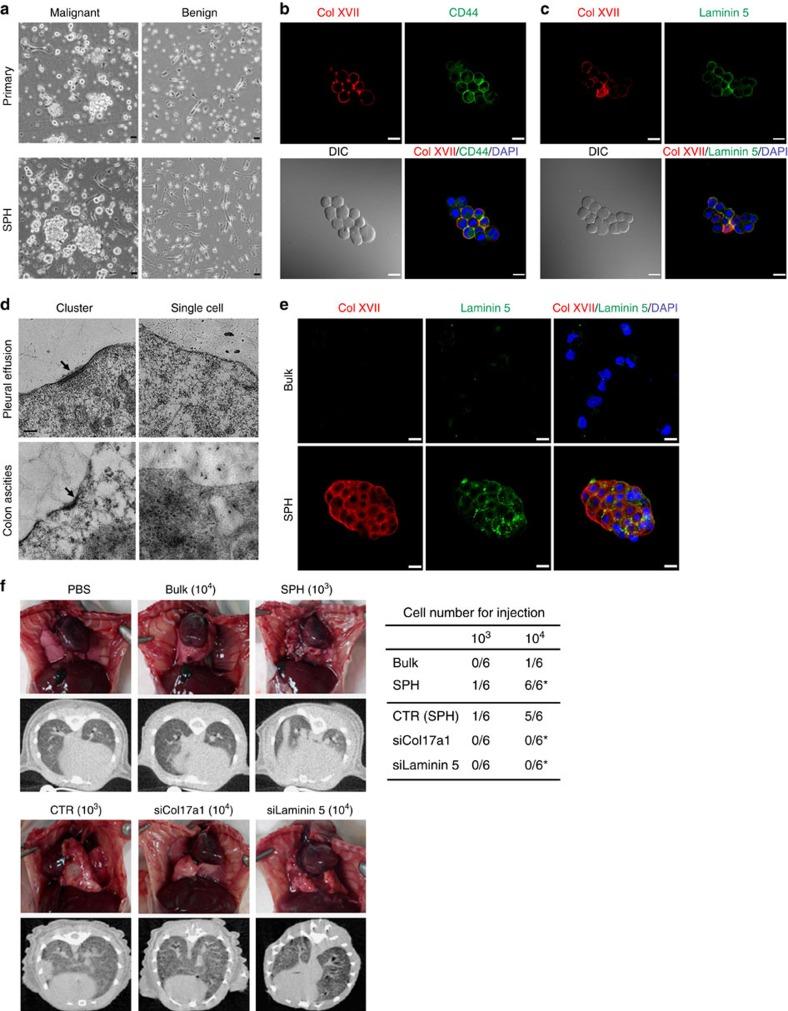
Targeting tumour-initiating cells (TICs) would lead to new therapies to cure cancer. We previously demonstrated that TICs have the capacity to survive under suspension conditions, while other cells undergo anoikis. Here we show that TICs exhibit increased phosphorylation levels of S727STAT3 because of PP2A inactivation. Collagen 17 gene expression is upregulated in a STAT3-dependent manner, which also stabilizes laminin 5 and engages cells to form hemidesmosome-like junctions in response. Blocking the PP2A-S727STAT3-collagen 17 pathway inhibits the suspension survival of TICs and their ability to form tumours in mice, while activation of the same pathway increases the suspension survival and tumour-initiation capacities of bulk cancer cells. The S727STAT3 phosphorylation levels correlate with collagen 17 expression in colon tumour samples, and correlate inversely with survival. Finally, this signalling axis enhances the ability of TIC to form tumours in mouse models of malignant lung cancer pleural effusion and spontaneous colon cancer metastasis.
靶向肿瘤起始细胞 (TICs) 将导致新的癌症治疗方法。我们之前证明 TICs 具有在悬浮条件下生存的能力,而其他细胞则会发生凋亡。在这里,我们发现 TICs 由于 PP2A 失活而表现出 S727STAT3 磷酸化水平的增加。胶原 17 基因的表达以 STAT3 依赖的方式上调,这也稳定了层粘连蛋白 5,并使细胞能够形成类似于半桥粒的连接。阻断 PP2A-S727STAT3-胶原 17 途径可抑制 TIC 的悬浮存活及其在小鼠中形成肿瘤的能力,而激活相同途径则会增加批量癌细胞的悬浮存活和肿瘤起始能力。S727STAT3 磷酸化水平与结肠肿瘤样本中的胶原 17 表达相关,并与存活率呈负相关。最后,该信号轴增强了 TIC 在恶性肺癌胸腔积液和自发性结肠癌转移的小鼠模型中形成肿瘤的能力。